Síndrome de Fhar
Síndrome de Fahr síndrome de etiología desconocida, descrito en 1930 por Karl Theodor T, clasificado como una rara enfermedad neurológica degenerativa, consistente en calcificaciones idiopáticas bilaterales en ganglios basales y de presentación clínica característicamente neuropsiquiátrica.
El inicio de la enfermedad se puede producir en cualquier momento de la niñez y de la edad adulta, con sintomatología motora y deterioro cognitivo de tipo subcortical. Es frecuente la aparición de síntomas afectivos atípicos en ambos períodos de presentación. La exploración neurológica a menudo es anodina. Deben excluirse trastornos endocrinos como: hipo y seudohipoparatiroidismo e infecciones como: toxoplasmosis, tuberculosis, encefalitis, anoxia cerebral y lesiones ocupantes de espacio cerebrales.
Sumario
Historia
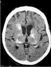
En 1930, Karl Theodor Fahr describió un paciente, con demencia de larga evolución, calcificaciones alrededor de los ventrículos laterales y ganglios de la base. Esta entidad se definió como enfermedad de Fahr. Entidad caracterizada por calcificaciones bilaterales, generalmente simétricas, con mayor compromiso sobre los ganglios de la base.
Genética
La enfermedad se hereda como un rasgo recesivo autosomal en el cual los dos padres deben portar el gen anormal Fahr para que su hijo herede la enfermedad teniendo, tanto hijos como hijas, un riesgo del 25% de recibir ambos genes Fahr y por lo tanto padecer la enfermedad.
Características
Esta enfermedad está caracterizada por calcificaciones bilaterales y simétricas, en los núcleos de la base o en otras áreas cerebrales asociadas a trastornos neurológicos. Afecta por igual a ambos sexos y se presenta más frecuentemente hacia la edad media. Se caracteriza clínicamente por alteración del tono muscular y de la regulación de los movimientos voluntarios y automáticos.
Nombres alternativos del síndrome
Los nombres alternativos de la enfermedad son también calcificación cerebral no arteriosclerótica, calcificación cerebral, enfermedad de Fahr, calcinosis o calcificación estriopalidodentata, calcinosis SPD y ferrocalcinosis o ferro calcificación cerebrovascular.
Diagnóstico
La tomografía axial computarizada sin contraste es fundamental para confirmar el diagnóstico del síndrome de Fahr y descartar otras entidades.
Diagnóstico diferencial
En el diagnóstico diferencial se encuentran aquellos síndromes demenciales que afectan predominantemente estructuras subcorticales como son los ganglios de la base, tálamo, cerebelo y base del tallo cerebral.
Síntomas
Desde el punto de vista clínico, el síndrome de Fahr se manifiesta con el deterioro de las funciones motoras, demencia, retraso mental, parálisis cerebral espástica, disartria, espasticidad, problemas oculares, atetosis, distonia, corea y convulsiones.
Síntomas fundamentales
Los síntomas fundamentales se desarrollan cuando estos depósitos acumulados afectan los ganglios basales y producen un deterioro progresivo de las funciones mentales, pérdida de la capacidad motora, parálisis espástica y atetosis.
Síntomas neuropsiquiátricos
Los síntomas neuropsiquiátricos pueden ser la manifestación más frecuente, debutando con alteración en el contenido del pensamiento, en la sensopercepción, compromiso en la atención, cambios en la personalidad o el comportamiento, demencia, psicosis, desorientación, y alteraciones de la retina con atrofia del nervio óptico y convulsiones de diferentes tipos. La correlación clínico-radiológica es fundamental en el diagnóstico de esta entidad; las lesiones calcificas cursan con niveles séricos normales de calcio.
Pronóstico
La prognosis o pronóstico para las personas con síndrome de Fahr es poco alentador. No hay cura para la enfermedad, no existe un curso estándar de tratamiento. El tratamiento es para los síntomas de manera individual. Los medicamentos haloperidol o carbonato de litio puede ayudar con los síntomas psicóticos.
El pronóstico para cualquier persona con Síndrome de Fahr es variable y difícil de predecir. No existe una correlación fiable entre la edad, la extensión de los depósitos de calcio en el cerebro, y el déficit neurológico.
Desde la aparición de calcificaciones es dependiente de la edad, el deterioro neurológico es progresivo en general, y los resultados son la discapacidad y muerte.
Enfermedades asociadas al síndrome de Fahr
Síndrome de Fahr implica anormalidades en el sistema neurológico: calcificación del cerebro propiamente, en el cráneo: microcefalia, en los ojos: glaucoma, atrofia del nervio óptico, retinitis pigmentosa y un importante problema hormonal llamado hipoparatiroidismo.
Fuentes
- http://lasaludylamedicina.blogspot.com/2009/05/la-enfermedad-de-fahr.html
- DI FONZO H, LÓPEZ V, KONFINO J, BEGUE G. Calcificaciones Intracerebrales (Síndrome de Fahr). Medicina (Buenos Aires) 2008; 68 – 151.
- OSORNO DA, VELASCO L. Enfermedad de Fahr; Reporte de un Caso. Revista de la Asociación Colombiana de Gerontología y Geriatría 2006; 4: 974 – 976


