Encía
| ||||||
Encía. Es una fibromucosa formada por tejido conectivo denso con una cubierta de epitelio escamoso queratinizado que cubre los procesos alveolares y rodea a los dientes.
Sumario
Definición
Es la parte de la Mucosa oral que cubre los procesos alveolares de los maxilares y rodea el cuello de los dientes.
Características clínicas
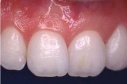
La encía normal es de color rosado coral, firme y resiente, de superficie finamente punteada y de aspecto lobulada, aunque puede variar en las diferentes personas, esto relacionado con la pigmentación cutáneade las mismas.
Histología
Esta consiste en un núcleo central de tejido conectivo cubierto por epitelio escamoso estratificado. La queratinización de la cavidad bucal varia en diferentes zonas en el siguiente orden, mayor queratinización en paladar, y menor en encía, lengua y carrillos.
Subdivisión
La encía se divide en marginal, insertada e Interdental.
Encía marginal
Es la encía no insertada que rodea a los dientes a modo de collar y está separada de la encía insertada adyacente por una suave
depresión lineal, llamado el surco marginal. El color de dicha encía se describe como rosado coral, el cual es producido por el aporte vascular, el grosor y grado de queratinización del epitelio y la presencia de células con pigmentos. La textura superficial, se presenta como una superficie finamente lobulada, como una cáscara de naranja, que le da un aspecto de punteado .Esto es una característica clínica importante de la encía normal , la disminución o la pérdida del punteado son un signo común de enfermedad gingival.
Encía insertada.
Es la continuación de la encía marginal, la cual es firme, resiliente y fuertemente unida al cemento y hueso alveolar subyacentes. La encía insertada vestibular se continúa con la mucosa alveolar, relativamente floja y móvil, de la que está separada por la línea mucogingival. La superficie de esta encía es lisa.
Por el lado lingual en el maxilar inferior, esta finaliza en su unión con la mucosa que tapiza el surco sublingual en el piso de la boca. El epitelio que conforma la encía insertada consiste en un epitelio escamoso estratificado y un estroma conectivo subyacente, el tejido conectivo de la encía se conoce como lamina propia.
El epitelio que cubre la encía marginal y la encía insertada presenta una superficie queratinizada o paraqueratinizada, o una combinación de ambas. Esto es una consideración protectora para la función que cumple, lo cual puede aumentar con la estimulación artificial de la encía por el cepillado. El epitelio gingival es renovado constantemente, lo que es considerado un mecanismo de defensa.
Encía Interdental
Es la que ocupa el espacio interproximal por debajo de la zona de contacto de los dientes, consiste en dos papilas, una vestibular
y otra lingual.
Surco gingival
Este está situado alrededor del diente y limitado por un lado por este, y por el otro por el Epitelio que tapiza el margen libre de la encía. El mismo se forma cuando el diente erupciona en la cavidad oral.
Fibras Gingivales
El tejido conectivo de la encía marginal es densa mente colágeno, y contiene un prominente sistema de haces de fibras colagenas llamadas fibras gingivales, las cuales tienen la función de , ajustar la encía marginal firmemente contra el diente , proveer la rigidez necesaria para soportar las fuerzas masticatorias sin que la encía sea separada de la superficie del diente, unir la encía marginal libre al cemento radicular y a la encía insertada adyacente.
Irrigación Sanguínea
El origen del aporte sanguíneo son las arteriolas supraperiósticas de la cara vestibular y lingual del hueso alveolar, las arteriolas que emergen de la cresta del septum interdental y, en menor grado, las arteriolas del ligamento periodontal.
Drenaje linfático
El mismo comienza desde los linfáticos de las papilas conectivas y progresa hacia las redes colectoras externas al periostio del proceso alveolar y de allí a los nódulos linfáticos regionales, en especial el grupo submaxilar, hay vasos linfáticos que se extienden por debajo de la adherencia epitelial hacia el ligamento periodontal y acompañan a los vasos sanguíneos.
Inervación de la encía
Esta deriva de las fibras provenientes de nervios del ligamento periodonta y de los nervios labial, bucal y palatino, ramilletes de ramas del nervio trigémino.
Infecciones como manifestación de otra enfermedad
La Acatalasemia o enfermedad de Takahara es una enfermedad hereditaria caracterizada por la ausencia de la enzimacatalasa en los peroxisomas. Las manifestaciones clínicas de la enfermedad de Takahara son infecciones de la boca (encías y amígdalas).
Fuentes
- Albright, J. J.: Electron Microscope Studies of Keratinization as Observed in Gingiva and Cheek Mucosa. Ann. New York Acad. Se., 85:351, 1960.
- Arnim, S. So, and Hagerman, D. A.: The Connective Tissue Fibers of the Marginal Gingiva. J.A.D.A., 47:271, 1953.
- Avery, J. K., and Rapp, R.: Pain Conduction in Human Dental Tissues. Dent. Clin. North America, julio 1959, p. 489.
- Avery, J. K., and Rapp, R.: Presence of Acetylcholinesterase in Human Gingiva. J. Periodont., 30 :152, 1959.
- Bass, C. C.: A Demonstrable Line in Extracted Teeth Indicating the Location of the Outer Border of the Epithelial Attachment. J. D. Res., t5 :401, 1946.
- Bauma, J. L.: The Structure of the Epithelial Attachment Revealed by Pitase Contrast Mi• croscopy. J. Periodont., t4 :99, 1953.
- Beagrie, G. S., and Skougard, M. R.: Observa¬tions in the Life Cycle of the Gingival Epithelial Cells of Mice as Revealed by Autoradiography. Acta odont. scandinaveo :15, 1962.
- Becks, H.: Normal and Pathologic Pocket Formation. J.A.D.A., 16 :2167, 1929.
- Bernick, S.: Innervation of the Teeth and Periodontium. Dent. Clin. North America, julio 1959, p. 503.
- Bowers, G. M.: A Study of the Width of the Attached Gingiva. J. Periodont., 94 :201, 1963.
- Box, H. K.: Treatment of the Periodontal Pocket. Toronto, The University of Toronto Press, 1928. 120 Brill, N., and Bjorn, H.: Passage of Tissue Fluid into Human Gingival Pockets.Acta odont. Scandinav., 17 :11, 1959.
- Burnett, G. M., Gouge, S.and Toye, A. E.Lysozyme Content of Human Gingiva and Various Rat Tissues. J. Periodont., 90 :148, 1959.
- Burstone,M. S.Histochemical Study of Cytochrome Oxidase in Normal and Inflamed Gingiva.Oral Surg.Oral Med. & Oral Path., 19 :1501, 1960.
- Cabrini, R. L., and Carranza, F. A., Jr.Histochemical Distribution of Acid Phosphatase in Human Gingiva. J. Periodont., t9 :34, 1958.
- Carranza, F. A., Jr., and Cabrini, R. L.Histochemical Distribution of Acid Phosphatase in Healing Wounds. Science, 195 :672, 1962.
- Carranza, F. A., Jr,and Cabrini, R. L.Histochemical Reactions of Periodontal Tissues: A Review of the Literature.J.A.D.A,60: 464, 1960.
- Carranza, F. A. Jr., and Cabrini, R. L.: Mast Cells in Human Gingiva. Oral Surg., Oral Med. & Oral Path., 8 :1093, 1955.
- Cohen, B.: Morphological Factors in the Pathogenesis of Periodontal Disease. Brit. D.' J., 107 :31, 1959.
- Cohen, W.: 'l'he Blood Supply of the Gingival Tissues. J. Periodont., t5 :64, 1954.
Enlaces Externos
- http://www.enciagroup.co.uk/
- http://www.explored.com.ec/guia/fas85.htm
- [1]. Consultado en www.ecured.cu el 4 de mayo de 2014.

