Traumatismos dentarios
| ||||
Traumatismos dentales
Eventos que suceden frecuentemente, se definen como una lesión de extensión e intensidad variable de origen accidental o intencional, causado por fuerzas que actúan sobre el órgano dentario y los tejidos que le rodean.
Sumario
Frecuencia de las lesiones
Las lesiones de los dientes durante el primer año de la vida son poco frecuentes, pero a medida que el niño camina y después corre la frecuencia de los accidentes van en aumento. En la edad escolar, son comunes los accidentes en los juegos, casi siempre por caídas. Aumentan con la edad las lesiones provocadas por accidentes de bicicleta. En la segunda década de la vida se incrementan los deportes y con ello las lesiones en estas actividades, las cuales se ha demostrado que se producen por el choque con el puño o con el codo. Al final de la segunda década de la vida aumentan las lesiones dentarias y faciales por accidentes del tránsito.
Se ha demostrado por la mayoría de las investigaciones que los varones sufren al menos dos veces más lesiones en la dentición permanente que las hembras, factor que está sin duda relacionado con su participación más activa e intensa en juegos y deportes.
Factores predisponentes
Como factores predisponentes de sufrir un trauma dentario se señalan la inclinación hacia fuera de los dientes superiores delanteros, con no cierre de los labios, originada fundamentalmente por hábitos bucales deformantes como chupeteo de dedo, uso del tete, respiración bucal y empuje lingual.
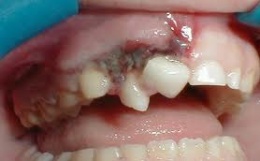
Son variados los tipos de lesiones que pueden producirse en los dientes provocados por traumas: las fracturas o roturas de las coronas ,desplazamientos dentarios (luxaciones) , la salida total del diente de la boca (denominadas avulsiones dentarias), las fracturas de las raíces, y pueden aparecer combinaciones de estas.
Por leve que pueda parecer la lesión, se impone acudir de inmediato al estomatólogo, para recibir la debida valoración y el tratamiento adecuado. Para el pronóstico de los dientes traumatizados, es de vital importancia, que un adecuado tratamiento sea efectuado lo más pronto posible después del trauma. Se recomienda atraer la atención de padres, representantes, educadores y profesionales de la salud, enfatizando que siempre que ocurran estos accidentes desafortunados se debe acudir al estomatólogo, y no solamente cuando existe dolor o se ha perdido la estética.
¿Qué hacer si el diente sale fuera de la boca?
Debe sostenerse el diente por la corona (parte visible del diente), enjuagarlo con solución salina o agua sin frotar su raíz y colocarlo enseguida dentro de su cavidad (alveolo). De no ser posible su colocación, debe transportarse de preferencia en un recipiente con un poquito de leche, solución salina, agua, e incluso saliva del traumatizado o del acompañante. Cuando se introduce en saliva el lapso que debe transcurrir antes de la atención estomatológica no debe sobrepasar las dos horas. La resequedad del diente y la demora entre el momento de producirse la lesión y el de recibir atención, constituyen contraindicaciones para lograr el éxito en el tratamiento.
Fuentes
• JE Villavicencio, JA Hernández. Efectividad de la rejilla palatina en el tratamiento del hábito de succión digital en niños. Colomb Med 2001; 32: 130-132 (ref.3)
• Umberger FG, Van Reenen JS. Thumb sucking management: a review. Int J Orofacial Myology. 1995 Nov;21:41-7.

