Urotelio
| ||||||
Urotelio es el recubrimiento de las vías urinarias, que comprenden la pelvis renal, los uréteres, la vejiga y la uretra.
Composición
El Urotelio está compuesto por una capa basal de células cuboideas reposando en la membrana basal, capas intermedias, y una capa superficial de células referidas como células paraguas que son considerablemente grandes y pueden tener núcleos múltiples.
Características
El urotelio tiene la característica única de conformar una barrera contra la orina tóxica, previniendo filtraciones, y tiene la capacidad de contraerse y expandirse en relación con la función fisiológica normal de la vejiga.
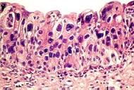
Histología del urotelio
La mucosa del tracto urinario está compuesta por un epitelio estratificado con un promedio de 7-8 capas de células especializadas conectadas a una membrana basal. El grosor de la mucosa vesical varía dependiendo del estado de la misma. Cuando está distendida, solo hay escasas capas de células uroteliales, cuando está desocupada presenta un epitelio grueso estratificado. Las células de las capas profundas son pequeñas con un único núcleo. Las células superficiales son más grandes y con frecuencia multinucleadas con 2 a 55 núcleos. Cada célula superficial cubre dos o más células basales. Por esta razón son llamadas células sombrilla. El urotelio de la vejiga normal puede mostrar múltiples invaginaciones epiteliales llamadas nidos de von Brunn. Estos pueden estar recubiertos de células columnares secretoras de moco en vez de urotelio. Cuando se encuentran distendidos con moco la apariencia histológica se denomina cistitis cística o cistitis glandular.


