Úlcera de la córnea

Úlcera de la Córnea
Información sobre la plantilla
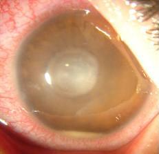
Ulcera Corneal.JPG
Clasificación:Las úlceras corneales suelen ser causadas principalmente por una infección con bacterias, virus, hongos o amebas


Úlcera de la córnea. Es una perforación de la córnea, generalmente debida a una infección, con bacterias, virus, hongos o amebas.

Úlcera de la córnea

La úlcera de la córnea (úlcera corneal) es una perforación de la córnea, generalmente debida a una infección Las bacterias (en general los estafilococos, pseudomonas, o neumococos) pueden infectar y ulcerar la córnea una vez que el ojo ha sufrido una herida. Otras bacterias como los gonococos, y ciertos virus, como por ejemplo el herpes, también pueden provocar úlceras de la córnea. Los hongos pueden causar úlceras de crecimiento lento. En muy raras ocasiones, la deficiencia de vitamina A o de proteí­nas puede producir una ulceración de la córnea. Cuando los párpados no se cierran correctamente para proteger el ojo y humedecer la córnea, pueden aparecer úlceras debidas a la sequedad y la irritación, incluso sin que exista una infección.

Causas, incidencias y factores de riesgo

Las úlceras corneales suelen ser causadas principalmente por una infección con bacterias, virus, hongos o amebas. Existen además otras causas, entre las que se cuentan las abrasiones (rasguños) o cuerpos extraños, un cierre inadecuado del párpado, resequedad severa en los ojos, enfermedad ocular alérgica severa y diversos trastornos inflamatorios.

El uso de lentes de contacto, en especial lentes suaves que se usan durante la noche, puede causar una úlcera corneal. La queratitis por herpes simple es una infección viral grave que puede tener ataques repetitivos provocados por el estrés, la exposición a la luz solar o cualquier otra afección que deteriore el sistema inmunitario.

La queratitis micótica puede aparecer después de una lesión corneal que involucre material vegetal o en personas inmunodeprimidas. La queratitis por Acanthamoeba se presenta en usuarios de lentes de contacto, en especial en aquellos que intentan fabricar soluciones de limpieza caseras.

Los factores de riesgo son los ojos secos, las alergias graves, los antecedentes de trastornos inflamatorios, el uso de lentes de contacto, la inmunodepresión, un trauma y una infección generalizada.

Síntomas

  • Dolor ocular
  • Visión defectuosa
  • Enrojecimiento del ojo
  • Parche blanco en la córnea
  • Sensibilidad a la luz fotofobia)
  • Ojos llorosos
  • Ardor, picazón y secreción del ojo

Signos y exámenes

  • Agudeza visual
  • Examen de refracción
  • Examen de lágrimas
  • Examen con lámpara de hendidura
  • Respuesta del reflejo pupilar
  • Queratometría]] (medición de la córnea)
  • Raspado de la úlcera para análisis o cultivo
  • Tinción]] con fluoresceína de la córnea

También se pueden necesitar exámenes de sangre para verificar trastornos inflamatorios.

Tratamiento

El tratamiento de las úlceras y las infecciones corneales depende de la causa y debe hacerse lo más pronto posible para prevenir lesiones mayores en la córnea. Los pacientes generalmente comienzan el tratamiento con antibióticos que sean efectivos contra muchas bacterias y, tan pronto como se identifique la causa de la úlcera, se prescriben antibióticos más específicos, antivirales o gotas oftálmicas antimicóticas.

Las gotas oftálmicas con corticosteroides pueden utilizarse para reducir la inflamación en ciertas afecciones. Es posible que sea necesario tratar las úlceras graves con trasplante de córnea.

Expectativas (pronóstico)

Si no recibe tratamiento, una úlcera o infección corneal puede dañar la córnea de forma permanente. Las úlceras corneales sin tratamiento pueden igualmente perforar el ojo (provocar agujeros), ocasionando la diseminación de la infección al interior e incrementando el riesgo de problemas visuales permanentes.

Complicaciones

  • Cicatrización corneal
  • Pérdida severa de la visión
  • Pérdida del ojo

Situaciones que requieren asistencia médica

Se debe buscar asistencia médica si se presenta deterioro en la visión, sensibilidad severa a la luz o dolor ocular.

Prevención

La atención rápida y temprana de cualquier infección en los ojos por parte de un oftalmólogo puede prevenir el empeoramiento de la afección hasta el punto de una ulceración. Se recomienda lavarse las manos y prestar una atención rigurosa a la limpieza mientras se manejen los lentes de contacto y evitar la utilización de los mismos durante la noche.

Fuentes

  • Ulcera Córneal[1]
  • Ulcera de la Córnea[2]