Adrenalitis tuberculosa
| ||||
Adrenalitis tuberculosa: Es el resultado de la diseminación hematógena de una tuberculosis (TBC) activa, detectándose en 6% de éstas. La insuficiencia suprarrenal o enfermedad de Addison es poco común y su causa más frecuente es autoinmune (70-90%). El origen tuberculoso es menos frecuente. El diagnóstico en ocasiones es difícil, pero si el tratamiento se instaura precozmente resulta muy efectivo. El inicio del tratamiento específico consiguió una rápida mejoría y resolución de la hiponatremia.
Presentación
Es de rara presentación. La glándula adrenal es el órgano endocrino que más frecuentemente se afecta debido a un foco primario de TBC, como el pulmón, el riñón o el intestino. No se conoce claramente el tropismo del bacilo por las glándulas suprarrenales. Suele permanecer clínicamente latente durante décadas y en el momento del diagnóstico, cuando aparecen sus manifestaciones clínicas, la destrucción de las mismas puede llegar hasta 90%. Ocurre solo en 6% de los pacientes con tuberculosis activa. A pesar de la reducción de este porcentaje, el compromiso adrenal sigue siendo de difícil diagnóstico y se sabe que muchos casos no son notificados y solo son hallados en estudios posmórtem. La OMS predice un incremento continuo de la TBC y se estima que entre 19 y 43% de la población mundial está infectada por la micobacteria tuberculosis, la mayoría en forma de infección latente. Esto supone un enorme reservorio de individuos, entre los que son esperables nuevos casos. No se conoce claramente el tropismo del bacilo por las glándulas suprarrenales. Suele permanecer clínicamente latente durante décadas y, en el momento del diagnóstico, cuando aparecen sus manifestaciones clínicas, la destrucción de las mismas puede llegar hasta 90% y en la mayoría de los casos es bilateral, pero asimétrica.
Síntomas
Consisten en astenia, anorexia y pérdida de peso. Es importante pensar en esta enfermedad ante un paciente con un síndrome general. La hipotensión se da en 88% de los pacientes y va acompañada de síntomas de ortostatismo. Otros síntomas menos frecuentes son náuseas, vómitos, dolor abdominal, diarrea o estreñimiento, apetencia por la sal, apatía, depresión, mialgias, entre otros. La hiperpigmentación cutánea ocurre en 86 a 94%, como signo relativamente más específico; en nuestros pacientes se presentó como compromiso cutáneo y mucoso. La molécula de ACTH en las células del lóbulo intermedio de la hipófisis es precursora de la hormona estimulante de los melanocitos (alfa- MSH), que promueve la pigmentación de la piel; y dado que la ACTH comparte con alfa- MSH el grupo de aminoácidos con esta capacidad estimulatoria, genera hiperpigmentación de piel y mucosas.
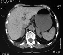
Diagnóstico
El diagnóstico etiológico de certeza lo confirma la biopsia, aunque puede evitarse en caso de demostrar una infección tuberculosa activa en otra localización9,10. Cuando hay atrofia no hay consenso sobre la necesidad de comenzar tratamiento tuberculostático. Pero si están aumentadas bilateralmente, la pauta es similar a la TBC pulmonar. La recuperación glandular depende de la cantidad de tejido funcionante que en este caso fue precoz, a pesar de la resistencia a isoniacida por la mutación del gen katG, asociada en 60-90% de los casos de resistencias. El pronóstico es favorable y la supervivencia dependerá del proceso causal. Debido al incremento de la prevalencia de la TBC en el actual contexto de crisis económica y social global, debemos tener presente el probable origen tuberculoso en pacientes con insuficiencia suprarrenal. Su diagnóstico y tratamiento precoz son determinantes para preservar la función glandular.
Tratamiento
El tratamiento para insuficiencia adrenal fue inicialmente parenteral, con hidrocortisona 150 mg a 300 mg diarios, y posteriormente y hasta el momento de esta comunicación con prednisona (5 a 15 mg/día) y fludrocortisona (0,05 a 0,1 mg/día). La paciente presentó evolución clínica favorable. El diagnóstico en ocasiones es difícil, pero si el tratamiento se instaura precozmente resulta muy efectivo. El inicio del tratamiento específico consiguió una rápida mejoría y resolución de la hiponatremia. Presentación
Fuentes
- https://scielo.conicyt.cl › scielo
- revistaendocrino.org › index.php › rcedm › article › view


