Derrame pleural maligno
| ||||
Derrame pleural maligno se desarrolla a causa de una alteración en los mecanismos que normalmente mueven entre 5 y 10 Litros de líquido a través del espacio pleural cada 24 horas y éste es reabsorbido, dejando solamente 5 a 20 mLts presentes.
Sumario
Causas
Las causas más comunes de derrame pleural maligno en general son:
- Cáncer del pulmón
- Cáncer del seno y linfomas.
- En el hombre cáncer del pulmón, linfomas y cáncer gastrointestinal.
- En la mujer: cáncer del seno, cáncer ginecológico y cáncer pulmonar.
- Aumento de la presión hidrostática (falla cardíaca congestiva)
- Aumento de la permeabilidad capilar (inflamación o implantación de tumores en la pleura).
- Disminución de la presión oncótica (hipo-albuminemia).
- Aumento de la presión negativa intrapleural (atelectasias)
- Disminución del drenaje linfático (obstrucción linfática por tumor o fibrosis inducida por irradiación).
- falla cardiaca congestiva, neumonía bacteriana, neoplasias malignas y embolia pulmonar.
Diagnostico
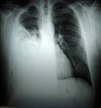
- Radiografía del tórax: radiografía de los órganos y huesos del interior del pecho.
- Tomografía axial computarizada.
- Toracentesis: extracción de líquido del espacio entre el revestimiento del pecho y el pulmón mediante una aguja.
- Biopsia: extracción de células o tejidos para que un patólogo pueda observarlos bajo un microscopio y determine si hay signos de cáncer.
Toracentesis
La toracentesis es un procedimiento que permite extraer el líquido extra de la cavidad pleural mediante una aguja o un tubo plástico delgado. La extracción del líquido puede ayudar a aliviar los síntomas graves en un tiempo corto. Es probable que pocos días después de la extracción del líquido extra este se vuelva a acumular. El riesgo de una toracentesis incluye sangrado, infecciones, hundimiento del pulmón, líquido en los pulmones y presión arterial baja.
Pleurodesis
Este es un procedimiento para cerrar el espacio pleural de modo que no se puede acumular líquido allí. Primero se extrae el líquido mediante toracentesis usando un tubo en el pecho. Después se introduce un medicamento en ese espacio mediante un tubo en el pecho para que se cierre el espacio pleural. Se pueden usar medicamentos como la bleomicina o el talco.
Cirugía
Se puede realizar una cirugía para colocar una cánula de derivación (tubo) para transportar el líquido desde la cavidad pleural hasta la cavidad abdominal, de donde es más fácil extraer el líquido. La pleurectomía es otro tipo de cirugía que se puede usar. Durante este procedimiento, se extirpa la parte de la pleura que reviste la cavidad pectoral.
Clasificación
Los derrames pleurales se clasifican como trasudados o exudados.
- Los derrames trasudados: son causados por insuficiencia cardíaca congestiva, cirrosis, síndrome nefrótico, u ocasionalmente por bloqueo linfático producido por cáncer.
- Los derrames exudados son causados por infección o neoplasia maligna. En ausencia de infección, un derrame pleural exudativo, especialmente si es sangriento, sugiere firmemente una etiología maligna.
Un derrame pleural exudativo en un paciente con un cáncer actual o pasado es muy probable que sea causado por el cáncer. Derrames debidos a linfoma o complicación mediastínica por cualquier tumor pueden ser quilosos y citológicamente negativos.
Tratamiento
- Después de la confirmación histológica del diagnóstico, tentativa de tratar la malignidad subyacente con quimioterapia sistémica. Los derrames quilosos no se controlan con esclerosis.
- Pleurodesis: Cuando la terapia sistémica no es factible o falla en controlar el derrame pleural, drenar el derrame con un tubo torácico hasta que la extracción diaria baja a 50-100 mL. Luego, instilar ya sea 1.25 mg/kg de bleomicina (sin exceder 40 miligramos por metro cuadrado en pacientes ancianos) o doxiciclina (500 mg) en un volumen de 50 mL.[10] Se administra premedicación con 5 a 10 mg de morfina intramuscular 45 minutos antes de la inyección del agente esclerosante, y, 15 minutos antes de la esclerosis, inyectar en la cavidad pleural 10 mL de lidocaína al 2%.A continuación de la inyección del agente esclerosante, se cierra el tubo con pinzas y se coloca al paciente en posición para exponer toda la superficie pleural al agente esclerosante. Después de 6 horas, se conecta el tubo al drenaje y se quita después de al menos 24 horas; algunos pacientes seguirán drenando por 48 horas o más.
- Los pacientes cuyos derrames no se controlan con bleomicina o esclerosis de doxiciclina se deberán considerar para toracoscopia e insuflación de talco o escisión pleural, si el derrame pleural representa la enfermedad metastática activa predominante
- Inserción de una derivación pleuroperitoneal: también se ha mostrado que el uso de una derivación pleuroperitoneal controla la disnea asociada con los derrames malignos de la pleura, aunque aproximadamente un 25% de las derivaciones se llegará a ocluir durante el tiempo de vida del paciente.
Fuentes
- http://www.google.com.cu/url?sa=t&rct=j&q=Causas++de+la+Rigidez+de+descerebraci%C3%B3n&source=web&cd=6&cad=rja&ved=0CEoQFjAF&url=http%3A%2F%2Fwww.nlm.nih.gov%2Fmedlineplus%2Fspanish%2Fency%2Farticle%2F003299.htm&ei=A3KCUafrCrH94APet4CYAg&usg=AFQjCNGz5atbYGZ7oBbXu9wwaXMkVuV26A
- http://www.emedicine.com/specialties.htm


