Distrofia corneal
Las distrofias corneales son enfermedades raras que afectan a la capa clara más externa del Globo ocular.
Descripción
Las distrofias corneales son un conjunto de enfermedades que se caracterizan por producir perdida progresivas de la transparencia de la Córnea sin la existencia de Inflamación. [1]
La córnea es la porción más anterior y transparente del ojo por la cual penetran los rayos de luz en el mismo. Cuando pierde su transparencia por una distrofia, la consecuencia es disminución de visión de grado variable dependiendo de la extensión de la zona afectada.
El término distrofia se refiere a una alteración del volumen y peso de un órgano. Son afecciones bilaterales que al principio afectan a la zona central y excepcionalmente a la zona marginal.
Este grupo de enfermedades en su mayor parte están determinadas genéticamente. Se conoce con exactitud en la mayoría de ellas el defecto genético preciso que las ocasiona.[2]
Historia
El termino distrofias corneal fue empleado por Ernest Fuchs a principios del siglo XX, para denotar una alteración dela nutrición, la cual supuso causante de lo que describió como dystrophia epithelialis corneane. Sin embargo se sabe que las distrofias no tienen nada que ver con la nutrición y que la distrofia de Fuchs era de origen endotelial. [3]
Cualquier patología de origen genético y hereditario, en la que estuviese alterada la fisiología de alguno de los tipos celulares corneales entraría dentro de la definición de distrofia (corneal), independientemente del predominio local o sistémico de las manifestaciones fenotípicas.sólo quedarían fuera de este concepto los cambios degenerativos de claro origen extracorneal como:
- depósito pasivo (arcos corneales periféricos)
- enfermedad de wilson.
Causas
Las distrofias corneales se deben a una alteración del metabolismo del ojo y su periferia, más frecuentes en los varones y en la adolescencia.
Los primeros síntomas pueden aparecer entre los 10 y los 40 años y tienen carácter bilateral, es decir afectan a los dos ojos. Evolucionan de forma lenta y progresiva.[4]
Síntomas
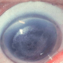
Existe una opacidad en la Córnea que provoca alteración de la Agudeza visual. Se forman pequeñas áreas de opacidades superficiales debido a la aparición de fibrosis entre las capas de la córnea que avanzan según evoluciona la enfermedad.
Son prácticamente asintomáticas y no asocian Queratitis (es una enfermedad en la que se produce un aumento del desarrollo y engrosamiento del epitelio de la capa córnea de la piel).
Son de progresión muy lenta, pero sobre los 40 años la visión se puede ver seriamente comprometida, por lo que se recomienda practicar una Queratoplastia. (El término Queratoplastia se refiere al transplante o injerto corneal, es decir, el tejido corneal enfermo es sustituido por un tejido donante).
Dentro de las distrofias corneales existe una forma especial denominada enfermedad de Fuchs, más frecuente en las mujeres mayores, en la que hay atrofia con edema, formación de vesículas y opacidades puntiformes en la córnea. Los enfermos ven halos corneales por la mañana que van despareciendo a lo largo del día. En las últimas etapas la córnea se vuelve totalmente opaca e insensible. [4]
Tipos
La cornea está compuesta básicamente por un conjunto de capas. La más externa que está en contacto con el aire es el epitelio anterior, a continuación se encuentra la Membrana de Bowman, el Estroma corneal, la Membrana de Descemet y por último el endotelio que es la capa mas interna.
Las distrofias corneales se clasifican en 4 grupos, dependiendo de la capa de la cornea a la que afectan primordialmente y pueden dividirse en: [5]
- Epiteliales
- Distrofia de la membrana basal epitelial o distrofia microquística de Cogan
- Distrofia de Meesmann
- De la capa de Bowman
- Distrofia de Reis-Bücklers
- Distrofia de Thiel-Behnke
- Distrofia de Schnyder central
- Del estroma
- Distrofia reticular tipo I o de Biber-Haab-Dimmer
- Distrofia reticular tipo II o síndrome de Meretoja
- Distrofia reticular tipo 3 y 3ª
- Distrofia granular
- Distrofia de Avellino
- Distrofia macular
- Distrofia en forma de gota gelatinosa
- Endoteliales
- Distrofia endotelial de Fuchs
- Distrofia polimorfa posterior
- Distrofia endotelial hereditaria congénita (CHED)
Tratamiento
Una de las opciones terapéuticas es el trasplante de córnea o Queratoplastia. Al tratarse de un grupo de enfermedad diferentes cuya expresión clínica es variable según el caso concreto, no es posible unificar un protocolo general de tratamiento.
Referencias
- ↑ Demetrio Pita Salorio: Diccionario terminológico de oftalmología, 2009. Consultado el 13-1-2010
- ↑ fckLROnline Mendelian Inheritance in Man. Consultado el 13-1-2010
- ↑ fckLR[http://www.sld.cu/sitios/oftalmologia-fac/temas.php?idv=13339
- ↑ 4,0 4,1 Jack J. Kanski: Oftalmología clínica, 5ª edición, 2004, ISBN 978-84-8174-758-4. Consultado el 13-1-2010 Error en la cita: Etiqueta
<ref>no válida; el nombre "A" está definido varias veces con contenidos diferentes - ↑ La Clasificación IC3D de las Distrofias Corneales; (PDF), sitio de la Sociedad de la Córnea

