Enfermedad de Galver Perther
| ||||||||||
Enfermedad de Legg-Calvé-Perthes. Se define tradicionalmente como una necrosis aséptica idiopática u osteonecrosis parcial o total de la epífisis femoral proximal, a causa de una falta de aporte sanguíneo asociado a complicaciones que ocurren en los niños en crecimiento.
Es una de las más frecuentes osteocondrosis y se asocia con una morbilidad potencial de larga evolución, caracterizada por una limitación motora importante que prescribe generalmente una restricción funcional mayor de 2 años, tiempo de evolución natural de la enfermedad.
Sumario
Historia
La enfermedad de Legg-Calvé-Perthes fue descrita por primera vez en el año 1909, casi al unísono por Arthur Legg en Boston y Jaques Calvé y George Perthes en Alemania, los que reconocieron su etiología “no infecciosa”, mientras que en 1910 Waldenström publicó los signos radiográficos típicos. En 1913, Perthes fue el primero en describir los cambios histológicos (islotes cartilaginosos en la epífisis y espacios llenos de tejido graso).
La enfermedad de referencia es una de las más frecuentes osteocondrosis y se asocia con una morbilidad potencial de larga evolución, caracterizada por una limitación motora importante que prescribe generalmente una restricción funcional mayor de 2 años, tiempo de evolución natural de la enfermedad. Se presenta con mayor incidencia en la niñez, en el sexo masculino, entre los 2 y 12 años de edad, etapa de intenso desarrollo de actividades volitivas, cognoscitivas y de actitudes que influyen incluso en el desarrollo psicomotor, en el aprendizaje intelectual y en el desenvolvimiento de la vida social del niño y la familia.
Formas de presentación
Se presenta con mayor incidencia en la niñez, en el sexo masculino, entre los 2 y 12 años de edad, etapa de intenso desarrollo de actividades volitivas, cognoscitivas y de actitudes que influyen incluso en el desarrollo psicomotor, en el aprendizaje intelectual y en el desenvolvimiento de la vida social del niño y la familia.
Causas
La enfermedad de Legg-Calve-Perthes generalmente ocurre en varones de 4 a 10 años de edad. Hay muchas teorías con relación a la causa de esta enfermedad, pero realmente se sabe poco. Sin suficiente suministro de sangre al área, el hueso muere. La cabeza femoral colapsa y se vuelve plana. Generalmente, sólo una de las caderas está afectada, aunque puede ocurrir en ambos lados. El suministro de sangre retorna en varios meses, lo que produce osteocitos nuevos. Las células nuevas gradualmente reemplazan el hueso muerto en un período de 2 a 3 años.
Síntomas
El primer síntoma es a menudo la cojera, normalmente indolora. Algunas veces, puede haber dolor leve que aparece y desaparece. Otros síntomas pueden abarcar:
- Rigidez de la cadera que restringe sus movimientos
- Dolor de rodilla
- Rango de movimiento limitado
- Dolor en el muslo o en la ingle que no desaparece
- Acortamiento de la pierna o piernas de largo diferente
- Pérdida de músculo en la parte superior del muslo
Pruebas y exámenes
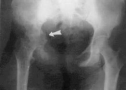
Durante un examen físico, el médico buscará pérdida del movimiento de la cadera y cojera característica. Una radiografía de la cadera o una radiografía de la pelvis pueden mostrar signos de enfermedad de Legg-Calve-Perthes. Se puede necesitar una resonancia magnética.
Tratamiento
El objetivo del tratamiento es mantener la cabeza femoral dentro del acetábulo. El médico puede denominarle "contención". La razón para hacer esto es constatar que la cadera tenga un buen rango de movimiento. El plan de tratamiento puede incluir:
- Un corto período de reposo en cama para aliviar el dolor intenso.
- Limitar la cantidad de peso que se coloca en la pierna mediante la restricción de actividades como correr.
- Fisioterapia para ayudar a mantener los músculos de la pierna y la cadera fuertes.
- Tomar medicamento antiinflamatorio, como ibuprofeno, para aliviar la rigidez en la articulación de la cadera.
- Usar una férula o un dispositivo ortopédico para ayudar con la contención.
- Usar muletas o un caminador.
La cirugía puede ser necesaria si otros tratamientos fallan. La operación va desde un alargamiento de un músculo de la ingle hasta una cirugía mayor de la cadera para reformar la pelvis, llamada osteotomía. El tipo exacto de cirugía depende de la gravedad del problema y de la forma de la cabeza de la articulación de la cadera. Es importante que el niño se haga un control regular con el médico y un especialista en ortopedia.
Pronóstico
El pronóstico depende de la edad del niño y de la gravedad de la enfermedad. Los niños menores de 6 años que reciben tratamiento tienen más probabilidades de terminar con una articulación de la cadera normal. Los niños mayores de 6 años tienen mayores probabilidades de terminar con una articulación de la cadera deforme, a pesar del tratamiento, y pueden padecer artritis más adelante.


