Meduloblastoma
| ||||||
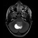
Meduloblastoma. Es un tumor cerebral de causa desconocida. Se localiza con mayor frecuencia en el cerebelo.
Síntomas
Como se encuentra con mayor frecuencia en el cerebelo, se alteran básicamente sus funciones: problemas al caminar, pérdida del sentido del equilibrio, dificultar al hablar.
Al ser un tumor intracraneal, su crecimiento comprime las estructuras cerebrales y origina hipertensión intracraneal que se manifiesta como: vómitos, cefalea muy intensa y alteración del estado de conciencia (o muy somnoliento o muy irritable)
Es un tumor muy agresivo que crece rápido y se extiende dentro y fuera del sistema nervioso con mucha facilidad. Se deben realizar pruebas de imagen como TAC y resonancia magnética cerebral para su diagnóstico.
Tratamiento
El tratamiento es quirúrgico acompañado de radioterapia y quimioterapia. El pronóstico no es bueno y pueden quedar secuelas en función de las áreas cerebrales dañadas.


