Mononucleosis infecciosa
| ||||||||
Mononucleosis infecciosa. Enfermedad provocada por un virus de la familia de los Herpes, conocido como virus de Epstein-Barr. La enfermedad se caracteriza por presentar síntomas como; dolor de garganta, fiebre, linfadenopatía y una linfocitosis atípica.
Sumario
Historia
El término de mononucleosis infecciosa fue introducido en 1920, cuando se describió un síndrome caracterizado por fiebre, linfadenomegalias, cansancio y linfocitosis en 6 pacientes. Pero en 1968, Henle demostró que el VEB era el agente etiologíco de los síndromes mononucleósidos (MNS) asociados con la presencia de anticuerpos heterófilos.
Virus
El virus de Epstein-Barr (EBV) es uno de los virus más frecuentes y ha sido asociado a varios tipos de tumores incluyendo el Carcinoma de Nasofaringe Indiferenciado (CNI), el Linfoma de Burkitt y Linfomas de célula B en pacientes con inmunodeficiencias. A principios del siglo XX se ha propuesto el virus de Epstein-Barr como el causante del síndrome de Fatiga Crónica. El virus, de la familia de los virus Herpes consiste en una cadena helicoidal de DNA doble encapsulada rodeada de una cápside icosaédrica de 164 cápsomeros. Todo el virus está envuelto por una cubierta glicoproteica. Los dos tipos de virus de Epstein-Barr que existen en la naturaleza no pueden ser distinguidos serológicamente.
Transmisión
Esta enfermedad se conoce también como la Enfermedad del beso, pues se transmite principalmente por el intercambio de saliva, a través de besos, al beber del mismo vaso o de la misma botella, compartir comida, compartir bebidas, etc. Se han descrito episodios epidémicos en varias partes del mundo. El virus se elimina hasta 18 meses después de la infección primaria; luego se elimina intermitentemente durante toda la vida (en ausencia de enfermedad clínica), esta enfermedad es viral.
Virus de Epstein Barr
El Virus de Epstein Barr es la causa más común de la mononucleosis infecciosa. Este virus también se le asocia a ciertas neoplasias como Linfoma de Burkitt Africano, Carcinoma de nasofaringe indiferenciado y enfermedades linfoproliferativas. Datos epidemiológicos y serológicos sugieren la asociación entre VEB y la enfermedad de Hodgkin, aunque la exacta contribución del virus al desarrollo de este tumor no es conocida. Está en investigación el papel que pueda desempeñar el VEB como cofactor en la patogénesis del cáncer de cuello uterino.
Síntomas
.
Por lo general, los síntomas comienzan a aparecer entre 4 y 7 semanas después de infectarte con el virus que afecta el sistema respiratorio, hígado y sistema linfático.
Se manifiesta por los siguientes síntomas:
- Fiebre.
- Inapetencia.
- Cansancio todo el tiempo.
- Dolor de cabeza y musculares.
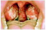
- Inflamación de las amígdalas que simulan una amigdalitis purulenta.
- Inflamación de los ganglios en todo el cuerpo, (siendo los del cuello los más visibles).
- Inflamación del hígado y del bazo.
- Erupción en la piel.
- Dolor abdominal.
En ocasiones se ponen de manifiesto otros síntomas como caída de la comisura del labio, caída de la ceja, alisadura de la frente, son menos comunes, pero no menos desagradables.
Otros signos son las manchas rojizas en la piel similar a las reacciones alérgicas, las que son más frecuentes si el paciente usa ampicilina o amoxicilina. Los niños pequeños en cambio tienden a presentar más manchas en la piel, disminución de los glóbulos blancos y neumonías.
La fiebre es una de las características más comunes. Los ganglios linfáticos suelen estar inflamados, generalmente en forma moderada, haciéndose accesibles a la palpación en todos los territorios incluyendo los epitrocleares, pero con neto predominio de los cervicales.
Si bien las adenomegalias carotídeas son las de mayor tamaño, las cervicales posteriores son las más características. Suelen ser simétricas, libres, elásticas y sensibles a la palpación. Puede haber adenomegalias profundas, sobre todo en hilios pulmonares y mediastino. En la mitad de los casos se acompañan de esplenomegalia, y en el 10 por ciento, de hepatomegalia.
La faringitis es de características variables, desde eritematosa hasta pultácea o úlceromembranosa. El síndrome dérmico está caracterizado por una erupción, generalmente de tipo exantemático, en la mayoría de los casos fugaz, ocasionalmente asociada con exantema. Otros síntomas frecuentes son: escalofrío, sudores, cefaleas (fuertes dolores de cabeza), artromialgias (dolor en músculos y/o articulaciones), astenia (decaimiento, agotamiento).
Desde el punto de vista hematológico lo característico y de capital importancia diagnóstica es la linfocitosis con presencia de linfocitos atípicos el Monospot ( prueba de anticuerpo heterófilo) sirve para confirmar el diagnóstico, el cual es más confiable en pacientes mayores de cinco años. Los síntomas pueden ser también náuseas, vómitos y anorexia, así como fatiga extrema y apatía.
Tratamiento
En la gran mayoría de los casos, no se necesita otro tratamiento diferente al reposo, la ingesta abundante de líquidos y la toma de ibuprofeno o paracetamol (aunque este último no se recomienda por posibles problemas hepáticos a consecuencia del fármaco) u otro agente antitérmico para disminuir la fiebre.
El virus se elimina espontáneamente y los síntomas desaparecen generalmente en el plazo de cuatro semanas. En casos raros e infecciones graves pueden utilizarse algunos fármacos antivíricos como el valaciclovir que podría ser de utilidad según algunos estudios, aunque no es en absoluto un medicamento que deba emplearse de forma generalizada.
Complicaciones
Neurológicas: excepcionalmente, meningitis, encefalitis, parálisis facial, etc...
- Rotura del bazo: poco frecuente (0,1% de los casos) pero grave, puede ser provocado por pequeños traumatismos e incluso producirse de forma espontánea.
- Alteraciones hepáticas: más habituales, aunque casi nunca producen problemas serios. Dentro de ellas, la ictericia (color amarillento de la piel por la bilurrubina en sangre) es poco habitual.
- Anemia por rotura de los hematíes (anemia hemolítica): se da en el 2% de los casos, y a veces se acompaña también de descenso de plaquetas.


