Osteomalacia porcina
| ||||||
Osteomalacia porcina. Es el reblandecimiento de los huesos debido a una falta de vitamina D.
Sumario
Concepto
Es una enfermedad metabólica de los animales adultos en la que hay preferentemente una alteración en el metabolismo del calcio y fósforo,y, en consecuencia, el tejido nuevo óseo formado está descalcificado y el que ya había formado anteriormente se descalcifica, por lo que hay resblandamiento, fragilidad y fracturas múltiples del esqueleto.
La osteomalacia se presenta por igual mecanismo en el raquitismo en los animales jóvenes y se llama con frecuencia raquitismo en adultos. En la osteomalacia hay cambos de tejido óseo por osteoide; un balance negativo en el metabolismo de la vitamina D puede contribuir a desencadenar la enfermedad.
Sintomatología clínica
Se observan de manera evidente las deformaciones del esqueleto, posturas anormales, los huesos de estos reblandecidos; pueden presentarse fracturas óseas; el apetito está pervertido; los animales consumen, incluso, sus propias deyecciones (coprofagia) y los cadáveres (necrofagia); en los cerdos también es frercuente que se coman las orejas y la cola los unos a los otros.
Los accesos espasmódicos o tetánicos son frecuentes, hay pérdida de la vivacidad, cambios de conducta, hay enflaquecimiento progresivo y en caso de la hembra, la secreción láctea va disminuyendo hasta cesar completamente.
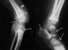
Lesiones anatomopatológicas
Las lesiones corresponden al engrosamiento irregular y difuso de las diáfisis de los huesos largos; fragilidad de los huesos, incluso pueden cortarse en rebanadas con un cuchillo; son frecuentes las deformaciones esquelétricas; puede haber lordosis o sifosis; en ocaciones puede observarse separaciones de la cabeza del fémur de la cápsula articular; la médula ósea está roja y llena de petequias.
Diagnóstico
Deberá realizarse el diagnóstico por los síntomas y lesiones teniendo en cuenta que hay:
- Formación de tejidos óseos descalcificados.
- Insuficiente resistencia ósea.
- Atrifia ósea u osteoporosis.
- Transformaciones fibrosas de la médula ósea.
- Fractura de huesos.
- Espasmofilia.
- Trastornos metabólicos generales.
Tratamiento
- Debe administrarse a los animales sales minerales como fosfato.
- El uso de premezclas (vitaminas y minerales) en la dieta.
- Ejercicio al aire libre.
En el tratamiento medicamentoso puede usarse la vitamina D o aceite de hígado de bacalao en la dosis de 50-70 g/día. En casos graves se puede emplear vitamina D en dosis única de 200 000 UI.
A los animales se le debe proveer de camas blandas o praderas al aire libre. En algunas zonas en las que el agua es <<dura>> (rica en sales), se logra suplir el déficit de Ca-P de los alimentos por la ingestión de esta.
Fuentes
- El cerdo (Roberto Alonso Sáez; Juan Miguel Cama Gómez; Jesús Rodríguez Gómez)
- Artículo: Alimentación del cerdo para engordar. Disponible en: "comunidad.uach.mx".
- Dato: Foto. Disponible en: "t1.gstatic.com".
- Ramírez Juárez, Luís Alberto. Universidad Nacional autónoma de Máxico. Patología veterinaria de músculo, hueso y articulación. Disponible en: "www.slideshare.net".

