Pénfigo de la laringe
| ||||
Pénfigo de la laringe. Se trata de un grupo de trastornos autoinmunes infrecuentes. Causa grandes úlceras en la piel. Normalmente el sistema inmune protege contra los gérmenes y otros invasores extraños.
Anatomía patológica
La enfermedad se caracteriza por la desintegración de las conexiones intercelulares (acantólisis). El primer plano microscópico es un edema intercelular en el epitelio, con pérdida de las conexiones celulares en las capas de células espinosas. Se forman entonces en esta capa hendiduras que se hinchan. Tales ampollas se rompen y producen ulceraciones superficiales e inflamación secundaria.
Como no existe formación de queratina por parte de la mucosa laríngea normal, la rotura de las ampollas es casi inmediata; por consiguiente, raras veces se logra su observación. Cuando se practica una biopsia, el epitelio se desgarra en varios fragmentos y deja al descubierto la capa basal.
Manifestaciones clínicas
La molestia principal está representada por el dolor de garganta, que puede asociarse con odinofagia. Es rara la disfonía. En algunos casos la afección laríngea se presenta como una recidiva que aparece varios años después del ataque inicial que afectó a otro órgano.
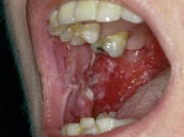
Se observan ampollas en la boca o en la piel. El examen de la laringe revela una epiglotis engrosada y enrojecida. En la piel y la falsa cuerda se aprecian ulceraciones epiteliales superficiales recubiertas con exudado membranoso. Rara vez llegan a observarse las ampollas.
A veces se afecta la osofaringe por erosiones mucosas similares, y luego suele darse el signo de Nikolsky, representado por el despegamiento de fragmentos de capas epiteliales superficiales cuando se ejerce una acción abrasiva o de tracción. Puede observarse en el paladar durante la laringoscopía.
Diagnóstico
La biopsia de una zona afecta descubrirá por lo general el típico cuadro microscópico. Debe tenerse mucho cuidado al practicar la biopsia laríngea, ya que se puede causar la denudación de amplias zonas de la laringe por el traumatismo del laringoscopio y de la biopsia, con la consiguiente formación de adherencias entre las falsas cuerdas vocales.
Si se observan ampollas en la piel o en la boca, puede realizarse la prueba de Tzanck, que consiste en la coloración y examen del líquido de la vesícula para observar las células acantolíticas. Si no hay ampollas, puede inyectarse cantaridina por vía intradérmica, con objeto de producir una ampolla, de la cual se obtiene el líquido para el examen.
Tratamiento
Es importante realizar el diagnóstico precoz para poder empezar el tratamiento con corticosteroides, sustancias que por lo general se obtiene la remisión en un corto período de tiempo.
Para iniciar el tratamiento, se administra ACTH por vía intramuscular o intravenosa, ya que se requieren dosis elevadas de preparados de cortisona. Después de la estabilización, puede mantenerse el estado del paciente por medio de preparados esteroides por vía oral.
Fuentes
- John Jacob Ballenger. Enfermedades de la nariz, garganta y oído (en línea). Tomo 1 Pág. 464. Edición Revolucionaria. La Habana. Cuba. 1981.
- Información sobre Pénfigo de la laringe (en línea). Consultado: 03 de septiembre de 2014. Disponible en: www.med.nyu.edu


