Quiste radicular
| ||||||
Quiste Radicular. Es el más frecuente de los quistes odontogénicos y es clasificado de acuerdo a su disposición en, apical, lateral y residual.
Sumario
Etiopatogenia
Se produce cuando una inflamación de la pulpa dentaria alcanza la zona periapical provocando la formación de una granuloma apical. En el interior del granuloma la proliferación de restos epiteliales ( restos de Malassez ) estimulados por la inflamación da lugar a que se forme una cavidad quística epitelizada..
Características
Clínica
La mayoría de los quistes son asintomáticos y no dan evidencia de su presencia. El diente que se relaciona con el quiste es raro que este dolorido o sensible a la percusión. En ocasiones alcanza un tamaño tal que expande las corticales óseas o las destruye. Es una lesión que representa un proceso inflamatorio crónico y se genera en un largo periodo.
Pueden experimentar una exacerbación aguda del proceso inflamatorio y producir un Absceso dental, Celulitis o una Fístula. Por lo general se relaciona con dientes con Caries en estado avanzado, lo que ayuda en su diagnóstico. Puede situarse en el ápice radicular, lateralmente a la raíz de los dientes, o quedar en el tejido óseo después de la extracción dentaría sin ser descubierto, este puede confundirse con un quiste primordial. Aparecen por igual en ambos maxilares, se presentan en cualquier edad y no muestra preferencia por sexo.
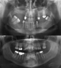
Radigráficas
Se aprecian áreas radiolúcidas situadas con más frecuencia en el ápice de los dientes. Su tamaño es variable. Suelen tener bordes bien definidos y ser de forma oval o redondeada. Es prácticamente imposible distinguir entre un granuloma periapical y un quiste, radiográficamente.
Histológicas
Microscópicamente se caracteriza por presentar un epitelio escamoso estratificado mas o menos grueso, que en algunas zonas pierden su continuidad con la constante presencia de infiltrado inflamatorio crónico y la eventual aparición de cristales de colesterina o de cuerpos hialinos.
Tratamiento
Consiste en la exéresis del quiste y si es necesario y prudente el tratamiento pulpo radicular del diente o dientes afectados.
Pronóstico
Es altamente favorable, aunque pueden recidivar si no se realiza la adecuada exéresis del quiste, el tratamiento del diente causal o ambas cosas.
Fuente
- 1. Archer, W. Harry: Cirugía bucal. 2 da. Edic. Castellano. Tomo I, paginas 398 a 493 Edic. Revolucionaria. Inst. del Libro 1968.
- Bashkar, s.n. Synopsis of oral Pathology. St lovis C.V. Mosby. Co. 1969
- Bernier, Joseph.L.D. : Tumor of Odontogenics Apparatus and Jaw. Armed Forces. Institute of Pathology. Washington. D. C. 1960, pp 11- 24.
- Bruce Donoff, R. : Manual of oral and Maxillofacial surgery massachusetts general hospital. Taird edition, pp 345 - 356 , 1997.
- Clínicas quirúrgicas de Norte América . Cirugía de cabeza y cuello. Segunda parte. Pp 781 - 795. Interamericana, 1977.
- Converse, J..M. : Reconstrucción Plastic surgery. Tomo III. Pp 1200 - 1209. W.B. Sounders Company Philadelphia and London, 1964.


