Síndrome de Caplan
| ||||||||
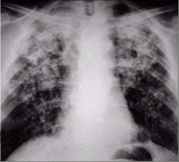
Síndrome de Caplan. Es la hinchazón (inflamación) y cicatrización de los pulmones en personas con artritis reumatoidea que han estado expuestas al polvo de las minas que contienen carbón. La enfermedad pulmonar se denomina neumoconiosis de los mineros del carbón.
Sumario
Causas
El síndrome de Caplan es causado por la inhalación de polvo de las minas del carbón, lo cual causa inflamación y puede llevar al desarrollo de muchas protuberancias (nódulos) pulmonares pequeñas y a una enfermedad leve de las vías respiratorias similar al asma. Algunas personas que han estado expuestas al polvo presentan una cicatrización pulmonar severa, llamada fibrosis masiva y progresiva, que le dificulta a los pulmones el transporte de oxígeno al torrente sanguíneo. Las personas con artritis reumatoidea no parecen tener una mayor probabilidad de presentar esta complicación de la cicatrización. El síndrome de Caplan es muy poco común en los Estados Unidos.
Síntomas
Los síntomas que puede traer consigo son:
- Tos
- Dolor e inflamación articular
- Nódulos cutáneos (nódulos reumatoideos)
- Dificultad respiratoria
- Sibilancias
Pruebas y exámenes
El médico elaborará una historia clínica detallada del paciente, incluyendo preguntas acerca de los trabajos (pasados y presentes) y otras posibles fuentes de exposición al polvo de las minas. El médico igualmente llevará a cabo un examen físico, prestando atención especial a cualquier enfermedad en las articulaciones y la piel.
Otros exámenes pueden ser:
- Radiografías de tórax
- Tomografía computarizada del tórax
- Radiografías de las articulaciones
- Pruebas de la función pulmonar
- Examen del factor reumatoideo
Tratamiento
No existe un tratamiento específico para el síndrome de Caplan, distinto a tratar cualquier enfermedad pulmonar o articular.
Pronóstico
El síndrome de Caplan rara vez produce dificultad respiratoria o discapacidad graves debido a problemas pulmonares.
Posibles complicaciones
Aumento del riesgo de tuberculosis Fibrosis masiva y progresiva (cicatrización) Efectos secundarios de los medicamentos
Prevención
Las personas con artritis reumatoidea deben evitar la exposición al polvo perjudicial.
Fuentes
- Medline Plus Sindrome de Caplan Consultado el 30 de Septiembre del 2011

