Cordoma
| ||||
Cordoma. Tumor maligno que se manifiesta en el esqueleto axial. Este tumor surge de remanentes del notocordio. El cordoma usualmente ocurre entre la quinta y séptima década de vida.
La presentación clínica depende de la localización del tumor. En radiografías simples, el cordoma aparece como una lesión solitaria con destrucción ósea en la línea media. Con frecuencia esta lesión es acompañada por masas en tejido blando.
Los cordomas constituyen de 1 – 4% de todos los cánceres de hueso. Ocurren en adultos de edad avanzada, en particular durante la quinta y séptima década de vida. Debido a su origen en el notocordio, los cordomas ocurren en la línea media del esqueleto axial. La mitad de los casos afectan la región sacrococcigeal y una tercera parte de los casos ocurren en la base del cráneo. En raras ocasiones pueden ocurrir en los procesos transversos de los cuerpos vertebrales y en los senos paranasales.
Síntomas
La presentación clínica depende de la localización del tumor. Los tumores sacrococcigeales se presentan frecuentemente como dolor en la espalda baja sin patrón o progresión característica. Estos tumores pueden presentarse además, como problemas de disfunción vesical y de evacuación. En ocasiones los tumores pre-sacrales pueden ser palpados durante exámenes rectales. Los tumores sacrales pueden presentarse como masas de gran volumen dentro del espacio pélvico. Los tumores cervicales anteriores presentan disfagia y los tumores cervicales posteriores pueden causar déficits neurológicos. Tumores en la base del cráneo pueden presentarse como dolores de cabeza.
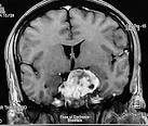
Estudios radiológicos
En radiografías simples, el cordoma aparece como una lesión solitaria con destrucción ósea en la línea media. Frecuentemente esta lesión es acompañada por masas en el tejido blando. Calcificaciones focales están presente en la mitad de los casos. Estudios de TAC y RNM ayudan en la identificación del componente de tejido blando, calcificaciones y extensión epidural. La identificación de recurrencias locales se hace por medio de RNM. En rastreo de hueso el cordoma presenta adquisición/absorción reducida.
Histopatología
El cordoma se caracteriza por lóbulos y septas fibrosas. Las células malignas tienen citoplasma eosinofílico. Prominentes vacuolas de mucosidad empujan los núcleos a la periferia resultando en una apariencia de burbuja o gota.
Tratamiento
Debido a su localización, el tratamiento de cordoma es sumamente difícil. Excisiones quirúrgicas amplias son deseables pero raramente posibles debido a la localización anatómica del tumor.
Fuente
- Healey, JH and JM Lane, Chordoma: A Critical Review of Diagnosis and Treatment, Orthopedic Clinics of North America, 20(3):417-425, July, 1989.
- Bullough, Peter, Orthopaedic Pathologv (third edition), Times Mirror International Publishers Limited, London, 1997.
- Huvos, Andrew, Bone Tumors: Diagnosis. Treatment and Prognosis, W.B. Saunders. Co., 1991.


