Empaste dental
| ||||
Empaste dental. Se utiliza el término obturar en Odontología para definir lo que comúnmente se conoce como empastar y que consiste en limpiar la cavidad resultante de una caries para luego rellenarla con algún material. Este proceso rehabilita así la anatomía dental para una apropiada estética, función, masticación y oclusión de los dientes con sus antagonistas y consigue un buen sellado que impida que vuelva a producirse la lesión.
Sumario
Tipos de empastes
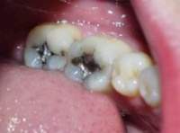
Los llamados “empastes negros” están confeccionados con amalgama de plata, una mezcla de varios metales entre los que predomina la plata, además de mercurio, cobre y otros. Su resultado a largo plazo es algo mejor que sus similares, pero su estética es muy pobre, hecho que hace que la amalgama de plata esté cada vez más en desuso. Los “empastes blancos” se componen de resina, un material sintético que endurece tras la aplicación de una luz halógena. Los avances tecnológicos en el mundo de la odontología han progresado de tal forma que, hoy en día, es posible reconstruir dientes anteriores y empastar molares sin que nadie note la diferencia con un diente íntegro.
Gracias a los materiales y nuevas técnicas de las que se dispone en la actualidad, se pueden realizar de forma fiable (estética y funcionalmente) empastes y reconstrucciones inapreciables a la vista. Obviamente los dientes con mayores requerimientos estéticos son los dientes frontales, ya que se aprecian al sonreír. Gracias a los composites de última generación es posible reconstruir, enmascarar o disimular gran parte de los defectos dentarios producidos por caries, alteraciones del color, fracturas, dientes más cortos que otros, etc.
Técnicas para realizar el empaste
El procedimiento consiste en realizar un grabado ácido del esmalte donde poder aplicar un adhesivo. Este potente adhesivo sustentará el material de restauración, el cual se irá colocando a base de pequeñas capas que se irán modelando cuidadosamente. Una vez colocada cada capa se endurecerá gracias a una potente luz halógena. Los diferentes colores y tonos del material pueden combinarse para darle al diente el aspecto deseado. Finalmente se pulen para suavizar la superficie y darles brillo.
Clasificación de los materiales restauradores
Se puede clasificar en función de diversas características, pero interesante de todo es la durabilidad, saber cuánto tiempo va a permanecer por lo general en óptimas condiciones un empaste en boca, y la estética, que condiciona muchas veces que no se use siempre el material más adecuado, buscando la estética ante todo.
- Durabilidad: todos los materiales restauradores poseen una durabilidad limitada.
- Permanentes: duran de 20 a 30 años ó más. Ejemplo: oro, amalgama de plata y coronas de porcelana. Las incrustaciones y carillas de porcelana y composite, todavía no se han evaluado el suficiente tiempo.
- Temporarios: duran de 3 a 10 años y se usan sobre todo por sus cualidades estéticas. Son el composite, el ionómero vítreo y el compómero.
- Estética: considerando estéticos aquellos materiales cuyas propiedades ópticas-color, translucidez, textura, armonizan con las características ópticas de las estructuras dentales se consideran estéticos el composite, el ionómero vítreo y la porcelana.
Como no estéticos encontraremos el oro, la amalgama de plata y las restauraciones metálicas.
Características de los materiales más usados.
La amalgama de plata y el composite son los materiales más usados. La amalgama de plata es el material más usado en todo el mundo, por sus buenas propiedades y buen desarrollo clínico. Es el único material que aunque esté mal trabajado, puede durar muchos años en la boca del paciente. La amalgama de plata de buena calidad cuando está bien trabajada, resiste el deterioro en el medio bucal. Su apariencia visual es desagradable por el color plateado y el brillo metálico. Estos últimos años se ha hablado mucho de la posible toxicidad del mercurio. Los países que por este motivo lo han eliminado, lo han hecho para disminuir la contaminación ambiental y no tanto por el peligro de la restauración en si misma. El composite es el material restaurador estético más usado. Sus ventajas son la buena estética, la ausencia de mercurio, la adherencia a la estructura dental y refuerzo del resto de tejido dental. Sus desventajas: es más sensibles a la técnica, es decir, es más difícil trabajarlo bien, más tiempo de trabajo clínico, la caries en el espacio entre el diente y la restauración progresa más rápidamente que la amalgama de plata, y menor durabilidad que la amalgama de plata y que el resto de restauraciones metálicas.
¿Cuándo están indicados los empastes?
Sus indicaciones son amplias. Pueden emplearse en cualquier diente, desde empastar caries pequeñas hasta reconstruir dientes completamente destruidos. Este tipo de tratamiento solamente está contraindicado de forma estricta cuando vayan a realizarse reconstrucciones en dientes frontales en pacientes que tienen los dientes muy desgastados por el rechinamiento.
Riesgo del empaste dental
En ocasiones, los primeros días, el paciente puede notar un exceso de sensibilidad a los alimentos muy fríos o muy calientes. En este caso se aplican barnices desensibilizantes para eliminar esta sensación. Si esta sensación no cesa en pocos días, habrá de repetirse de nuevo la obturación.
Duración.
La duración media de estos empastes es variable en función de los hábitos del paciente. La vida media de este tipo de empastes suele ser de unos 10 años. Si bien pueden durar mucho más tiempo, es recomendable acudir una vez al año a revisiones para vigilarlos. En el momento en que uno de estos empastes parezca deteriorado, oscurecido o produzca molestias, se debe pensar en sustituirlo por uno nuevo.

