Overbite o Mordida Profunda
| ||||
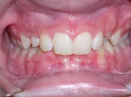
Overbite ó Mordida profunda. Es cuando los dientes anteriores inferiores ocluyen por detrás y por dentro de los superiores, contactan profundamente con los dientes superiores, a veces esta maloclusion es tan severa que alcanza a contactar los dientes inferiores con el paladar.
La influencia del crecimiento mandibular en el desarrollo de la mordida profunda o abierta, antes, durante y después del tratamiento de ortodoncia. Ha intentado predecirse un número de diagnósticos para la rotación anormal en el desarrollo y crecimiento dentoesqueletal, especialmente en la mandíbula.
Sumario
Características
La característica en este tipo de pacientes es que van a tener diferentes manifestaciones faciales y oclusales, representadas por una discrepancia vertical y sagital de la relación de ambas arcadas tanto superior como inferior. Normalmente, los pacientes son clase II, y presentan un incremento del resalte dentario en el cual las piezas superiores cubren la mayor parte de los inferiores y, en algunos casos, su totalidad.
Problemas que origina la Mordida profunda
- La enfermedad periodontal debido a la sobrecarga de las fuerzas oclusales
- Tensión excesiva
- Trauma
- Problemas funcionales (limitación de los movimientos de lateralidad)
- Bruxismo.
Debido a la excesiva profundidad de la mordida, son frecuentes los problemas funcionales que afectan a los músculos temporales, maseteros y pterigoideos laterales, por consecuencia, el cóndilo se desplaza hacia atrás y hacia arriba de la fosa articular (crecimiento vertical del cóndilo), debido a la erupción lingualizada de los incisivos centrales los cuales forzan a un distalamiento mandibular y de los cóndilos mas allá de la relación céntrica. Por lo tanto, el paciente puede presentar mayor susceptibilidad a una patología de ATM.
- Cara braquiocefálico
- Tendencia a clase II esquelética
- Perfil cóncavo
- Tercio inferior y dimensión vertical disminuida
- Plano oclusal disminuido
- Tendencia a crecimiento hipodivergente
- Retrognatismo mandibular
Arcada maxilar se encuentra bien desarrollada y en ocasiones con un exceso de crecimiento posteroanterior, la zona anterior se puede presentar ligeramente deprimida.
Arcada inferior es morfológicamente normal y revela signos característicos de lingualizacion y apiñamiento de los incisivos inferiores. La base esquelética de la región canina mandibular es significativamente mas angosta que la correspondiente base esquelética del maxilar superior Overbite aumentado (las piezas superiores cubren la mayor parte de las inferiores y en algunos casos su totalidad)
Retroclinación de los incisivos superiores, así como también de los inferiores.
Los dientes mandibulares están en una posición distal con respecto a los maxilares. Hiperplasia gingival en dientes inferiores
Al tratar una mordida profunda, el clínico no debe preocuparse únicamente por la dimensión vertical. También debe considerar la relación sagital y la dirección y magnitud del crecimiento que previsiblemente experimentará el paciente.
Consideraciones etiológicas
La sobremordida puede diferenciarse en :
- Congénita
- Adquirida.
Subtipos de mordida profunda congénita
- La sobremordida profunda esquelética, con un patrón de crecimiento horizontal.
- La sobremordida profunda dentoalveolar, producida por una supraoclusión de los incisivos.
La sobremordida profunda adquirida puede deberse a los siguientes factores
- El empuje o la postura lateral de la lengua puede producir generalmente una mordida profunda adquirida.
- La pérdida prematura de los molares deciduos, o de los dientes posteriores permanentes, puede generar una mordida profunda secundaria adquirida .
- El desgaste de superficie oclusal o la abrasión dental pueden producir una mordida profunda secundaria adquirida.
La corrección de la mordida profunda requiere poner un cuidado en el diagnóstico y el plan de tratamiento, y, sobre todo, tener un interés en conocer las manifestaciones que presenta este tipo de maloclusión, ya que son las que mayor daño puede causar a la ATM. Además, hay que tratarla lo más pronto posible durante el período de desarrollo del paciente.
Fuentes
- ArtículoMordida Profunda. Disponible en "www.slideshare.net".Consultado 1 de diciembre de 2011.
- Manejo de la mordida profunda. Disponible en "www.geodental.net".Consultado 1 de diciembre de 2011.



