Síndrome de Mallory-Weiss
| ||||
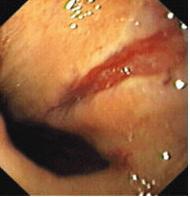
Síndrome de Mallory-Weiss o Desgarro de Mallory-Weiss. En medicina, el desgarro de Mallory-Weiss ó síndrome de Mallory-Weiss se refiere a laceraciones en la membrana mucosa del esófago, normalmente causados por hacer fuertes y prolongados esfuerzos para vomitar o toser. Puede aparecer con cierta frecuencia en el punto de unión entre el esófago y el estómago y puede acompañarse de sangrado.
Sumario
Epidemiología
La enfermedad fue descrita por primera vez en 1929 por G. Kenneth Mallory y Soma Weiss en 15 pacientes alcohólicos. La incidencia de la enfermedad es aproximadamente 4 casos por cada 100.000 personas, tiende a afectar más a los hombres que a las mujeres y puede aparecer a cualquier edad. El síndrome de Mallory-Weiss causa cerca del 5% de las hemorragias de la parte alta del tracto gastrointestinal.
Etiología
Los desgarros del esófago están cercanamente asociados a hábitos alcohólicos, desórdenes alimenticios y en algunas evidencias se demuestran la presencia de hernia de hiato como una condición predisponente. También pueden ser causados por convulsiones epilépticas. Puede estar asociado a la ingesta repentina de salicilatos .
Cuadro clínico
El síndrome de Mallory-Weiss se presenta frecuentemente como un episódio de vómitos con sangre hematemesis después de violentos intentos para vomitar y/o toser. Puede también ser notado como sangre antigua llamada melena, con una ausente historia de vómito forzado. Raramente se presenta como una condición fatal.
Diagnóstico
El diagnóstico definitivo se realiza con una endoscopia y rara vez demostrable por radiología de rutina,aunque puede demostrarse con una angiografía después de una inyección de una sustancia de contraste
Tratamiento
En la mayoría de los casos, la hemorragia se detiene espontáneamente después de 24-48 horas y se espera una cicatrización en aproximadamente 10 días. El tratamiento quirúrgico y/o la endoscopía es a veces requerido para suturar o ligar una arteria sangrante. El tratamiento es normalmente efectivo si la hemorragia persiste y puede que sea necesaria una transfusión sanguínea . La terapia puede incluir cauterización, fotocoagulación endoscópica o inyección de epinefrina para detener la hemorragia durante el proceso de la Endoscopía. Muy raramente se requiere la embolización de las arterias que proveen irrigación a la zona afectada con la finalidad de poner fin a la hemorragia.
Complicaciones
Raramente, si el desgarre es de suficiente calibre, puede causar irritación del mediastino o un derrame de pleura, la membrana que recubre los pulmones si se llegase a escapar jugos gástricos.
Prevención
Los trastornos que causen tos y vómitos deben ser tratados y aliviados para reducir el riesgo de un desgarro en el esófago. Se debe evitar el consumo de alcohol en exceso.
Fuentes
- Medline Plus (octubre de 2006). « Desgarro de Mallory-Weiss » (en español). Enciclopedia médica en español. Consultado el 16 de febrero, 2008.
- Instituto Químico Biológico (septiembre 2007). Síndrome de Mallory-Weiss (en español). Gastroenterología. URL accedida el 16 de febrero, 2008.
- Manual Merck de Información Médica para el Hogar. Sección 9: Trastornos Gastrointestinales. Capítulo 101: Trastornos del esófago. (en español). URL accedida el 16 de febrero, 2008.

