Tumores del Ángulo Ponto Cerebeloso
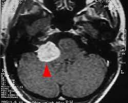
Tumores del ángulo pontocerebeloso son tumores ubicados en un área compleja en la base del cráneo, dentro de la fosa posterior, rodeados de nervios, vasos sanguíneos y tejido neural vital. Estos tumores en general son benignos, sin embargo, dada su ubicación, representan entidades de difícil tratamiento para lograr su extirpación o des vitalización sin producir secuelas importantes. El Ángulo Ponto-Cerebeloso es una zona de la base del cráneo posterior (zona de la nuca), en íntima relación con el cerebelo y la protuberancia o puente (ponto) del tronco cerebral, de donde se deriva este nombre de ponto-cerebeloso. Existe un ángulo ponto-cerebeloso por cada lado de la cabeza, limitados por el cerebelo en la zona medial, el hueso de la base del cráneo hacia el lado, y estructuras nerviosas y vasculares muy delicadas e importantes hacia arriba, abajo, adelante y atrás.
Sumario
Órganos importantes que se encuentran en él
Es una zona sumamente delicada al estar delimitada por estructuras vitales y con funciones muy importantes. Entre estas estructuras se cuentan el nervio facial que da la movilidad de los músculos de la cara del lado correspondiente; el nervio trigémino que da la sensibilidad de la mitad de la cara y los movimientos de la masticación; los nervios de la audición y del equilibrio (octavo par craneano); el cerebelo que tiene múltiples funciones, entre las más importantes la de coordinación motora; nervios de la deglución y del manejo competente de las cuerdas vocales (pares craneanos bajos); el tronco cerebral (protuberancia o puente) con funciones vitales, de la motricidad y la sensibilidad; arterias cerebelosas y estructuras venosas importantes; entre otros órganos relevantes.
Tipo de tumores que pueden aparecer en este ángulo
En general se trata de tumores benignos que nacen desde las mismas estructuras que delimitan y se encuentran en el ángulo.
- Los más frecuentes son los tumores llamados schwannomas (llamados a veces neurinomas) de la rama vestibular del octavo nervio craneano, tumores nacidos de células que forman este nervio (células de Schwann) que se reproducen de manera anormal y exagerada, produciendo el tumor.
- Otro tipo de tumor de la zona son los meningiomas, tumores nacidos de las meninges que recubren las estructuras nerviosas de esta región. Se dice que son tumores benignos porque no tienden a infiltrar las estructuras vecinas ni tampoco producen siembras o metástasis, pero tienden a crecer localmente hasta tamaños muy grandes cuando se detectan tardíamente y desplazan y comprimen órganos vitales, pudiendo comprometer la funcionalidad normal e incluso la vida en muchos casos.
- Pueden existir también tumores que se extiendan hacia este ángulo desde regiones vecinas; así como algunos pueden tener carácter maligno, siendo los menos frecuentes.
Síntomas de un tumor del ángulo ponto cerebeloso
Los síntomas son variables en tipo e intensidad. Generalmente aparece una sordera o baja de la audición del lado correspondiente al tumor, que es lo primero que nota el paciente. Síntomas como desequilibrio, neuralgias o dolores faciales, parálisis facial, dolores de cabeza y otros, son poco específicos y menos frecuentes, y en general se detectan con exámenes específicos y con la búsqueda dirigida del médico (examen neurológico y oto-neurológico; examen del octavo par, entre otros). Estos tumores en general crecen del nervio vestibular (que forma parte del octavo nervio), encargado del equilibrio, pero el equilibrio logra compensarse y no dar síntomas intensos a pesar de encontrarnos a veces con tumores muy grandes y gigantes. Esto hace que algunos pacientes no noten síntomas, o acusen una sordera o disminución de la audición, a la que no hacen caso durante mucho tiempo, y cuando finalmente se realizan un examen de imágenes o de la función del octavo par, se pueden detectar tumores grandes, que han crecido durante mucho tiempo, a veces por años.
Puede tenerlo
Cualquier persona puede tenerlos. En general, se trata de tumores que se detectan sobre los 40 años, aunque pueden aparecer antes, sobre todo en portadores de ciertas enfermedades congénitas. Los pacientes que sufren de un tipo especial de neuro-fibromatosis presentan estos tumores, a veces bilaterales, en forma familiar, siendo éste el factor predisponerte más habitual. Sin embargo, la gran mayoría de los pacientes que tienen un tumor del ángulo pontocerebeloso no tienen antecedentes familiares ni personales de otras enfermedades relacionadas. No existen tampoco demostradamente relaciones entre estos tumores y algunas actividades, como hablar por teléfonos celulares, estar en contacto con ondas electromagnéticas, traumatismos, infecciones del oído, etc.
Pronóstico y las secuelas de estos tumores
De no ser tratados, la mayoría de los tumores tenderá a crecer, desplazando y comprimiendo las estructuras nerviosas vitales que hemos mencionado, por lo que en la gran mayoría de los pacientes, la conducta debe ser la exéresis (resección) del tumor con microcirugía, existiendo hoy alternativas como la radiocirugía (radiocirugía) para ciertos pacientes con lesiones pequeñas y, en general, añosos. Los resultados del tratamiento, independientemente del tipo de tratamiento, son mucho mejores mientras más pequeño sea el tumor. En algunos casos de tumores muy pequeños y sobre todo en pacientes mayores, se puede hacer un seguimiento con imágenes (resonancia magnética) del tumor, para detectar cualquier crecimiento significativo de la masa tumoral y proceder de inmediato al tratamiento.
Tratamiento y posibles consecuencias
El tratamiento con neurocirugía (microcirugía) es el principal y más frecuentemente indicado, requiriendo técnicas de base de cráneo. Estas son técnicas laboriosas, muy delicadas y que requieren adiestramiento especial en microcirugía. Los procedimientos son de larga duración, necesitando neuro-anestesia especializada, monitorización de algunos nervios craneanos y la participación de varios especialistas y subespecialistas en muchos casos dentro de la operación. Muchas veces también el anestesista instalará un drenaje espinal para facilitar el trabajo quirúrgico mediante el retiro controlado de líquido céfalo-raquídeo desde la columna. Estas cirugías son complejas y, como toda cirugía, no están exentas de complicaciones. Una de las principales y más frecuentes es el compromiso del nervio facial, con cierta asimetría facial posterior que puede ser reversible con el tiempo. Otro problemas puede ser el deterioro de la audición (en algunos pacientes que la puedan tienen preservada) tras la operación. Los problemas más serios tienen que ver con la función de los pares bajos mencionados, que pueden comprometer la deglución y la adecuada protección de la vía aérea; y con las funciones del tronco cerebral. Mientras más grande se detecta y trata un tumor, más probables se vuelven las complicaciones y más difícil se hace resecar totalmente la masa. Muchas veces se prefiere dejar ciertas zonas del tumor para no dañar irreversiblemente al nervio facial y a otras estructuras del ángulo, pudiendo realizarse después un seguimiento periódico radiológico del residuo de tumor, re-operarlo o tratarlo con radiocirugía si corresponde. La radiocirugía es otra opción de tratamiento que existe en la actualidad. Esta terapia consiste en una dosis grande de radiación entregada de una sola vez que se dirige específicamente al tumor. Esto permite esencialmente detener el crecimiento del tumor. Se puede realizar este tratamiento en tumores relativamente pequeños, y se reserva como terapia inicial para un grupo limitado de casos, como también para tratar residuos tumorales. Esta terapia puede tener menos secuelas en cuanto a alteraciones del nervio facial y de los pares bajos; sin embargo puede no ser definitiva y en muchos casos puede ser necesario operar en un segundo tiempo el tumor por crecimiento de éste, siendo entonces la cirugía mucho más complicada por las alteraciones que sufren los tejidos con la radioterapia. En algunos casos puntuales, se realiza una cirugía con el objetivo principal de obtener una muestra o biopsia del tumor para posteriormente tomar una decisión de tratamiento definitivo o seguimiento.
Especialistas tratan estos tumores
Los neurocirujanos son los especialistas tratantes de los pacientes portadores de estos tumores. En la evaluación y el tratamiento tienen un rol fundamental también otorrinolaringólogos especializados en algunos abordajes de la cirugía de estas áreas (llamados oto neurólogos), neurólogos neuro fisiólogos y radio-terapeutas entre otros especialistas. Como en la mayoría de estos casos, médicos fisiatras, kinesiólogos, fonoaudiólogos, tecnólogos médicos y terapeutas ocupacionales tienen un rol relevante en el tratamiento post operatorio y en la recuperación de estos pacientes.


