Amigdalitis crónica
| ||||
La amigdalitis aguda (tonsilitis aguda) Es una inflamación repentina de las amígdalas causada por virus o por bacterias. Lo más común es que el agente patógeno, tanto en niños como adultos, sea viral. En niños menores de 3 años es más frecuente la etiología viral, de los 3 a los 15 años la etiología bacteriana es predominante y en el adulto lo normal es que la inflamación de las amígdalas se produzca por una infección vírica. Una amigdalitis crónica (tonsilitis crónica) significa que las amígdalas están infectadas de forma permanente por bacterias. Por lo general, no causa molestias o si se padecen estas son mínimas. La amigdalitis aguda se da principalmente en niños y jóvenes.
Sumario
Descripción
Las amígdalas dos masas de tejido ovales, carnosas y grandes que se encuentran en la pared lateral de la orofaringe, a cada lado de la garganta que ayudan a eliminar las bacterias y otros microorganismos para prevenir infecciones en el cuerpo. Ellas contienen células que producen anticuerpos útiles en la lucha contra la infección. La amigdalitis es la inflamación de una o ambas amígdalas palatinas, generalmente causado por virus o bacterias. Podemos distinguir entre:
- Amigdalitis aguda: Amigdalitis crónica: Tiene varias formas de repetición, hipertrofia de amígdalas palatinas, amigdalitis de repetición y amigdalitis caseosa. Las adenoides o amígdalas faríngeas o vegetaciones son unos ganglios linfoides situados cerca del orificio interno de las fosas nasales, en el techo de la nasofaringe, justo donde la nariz se une con la boca y forman parte de las amígdalas. Forman parte del sistema inmunológico del cuerpo y tienen la función de detectar los gérmenes y fabricar anticuerpos.
Resumen
La amigdalitis crónica (tonsilitis crónica) se manifiesta por unas amígdalas con una superficie perforada. Las amígdalas pueden haber aumentado o disminuido. Al presionarlas puede salir pus o una masa grumosa (productos de la descomposición de las células, el denominado detritus). Para reforzar el diagnóstico, puede tomarse una muestra de la superficie de las amígdalas, así como efectuar una prueba de anticuerpos contra los correspondientes gérmenes patógenos en la sangre.
Una amigdalitis puede provocar también enfermedades secundarias. Las bacterias de las amígdalas pueden colonizar otros órganos o bien algunas células de defensa pueden atacar por error tejido del propio cuerpo, lo que puede ocasionar infecciones en otros órganos. La fiebre reumática con la posible implicación del corazón, de las articulaciones y de la piel, así como una nefritis, son algunos ejemplos de dichas enfermedades secundarias. Esto, sin embargo, no es muy común Apenas se dan síntomas agudos. En ocasiones aparece un sabor desagradable o dolores durante la deglución y halitosis. Además, una amigdalitis crónica puede manifestarse por otros síntomas como la disminución en la capacidad de concentración y de rendimiento. Los ganglios linfáticos pueden estar inflamados de forma permanente sin que el paciente sienta dolor alguno. Es frecuente que una amigdalitis crónica vaya acompañada de rebrotes constantes de amigdalitis aguda.
Causas y Factores
- Tabaquismo.
- Sistema inmunológico deprimido.
- Contacto con otras personas afectadas.
- La hipertrofia adenoidea, por la cual se reduce el espacio por donde el aire, que ingresa por la nariz pasa hacia la laringe y tráquea.
Las amígdalas se hallan en el paso entre la cavidad bucal y la faringe, entre el arco palatino anterior y el posterior. Las amígdalas, junto con otros órganos y tejidos del cuerpo humano, son responsables de desarrollar el sistema inmunitario en los primeros años de vida. El cuerpo aprende a rechazar y protegerse de sustancias ajenas y perjudiciales para el cuerpo, como los virus y las bacterias.
Las amígdalas (tonsilas) van aumentando de tamaño entre el primer y el tercer año de vida. Con el comienzo de la pubertad se van atrofiando paulatinamente. A partir de ese momento, las amígdalas dejan de tener una función decisiva.
Una amigdalitis aguda que se reproduce con frecuencia puede derivar en una amigdalitis crónica. Las causas de una amigdalitis crónica (tonsilitis crónica) se hallan en una infección constante del tejido amigdalino. Los productos bacterianos y las células muertas se acumulan en las criptas (una especie de canales en las mucosas) del tejido amigdalino, provocando así una inflamación permanente de las amígdalas. Esto provoca que el tejido cicatrice y se fisure, con lo que la amigdalitis sigue avanzando.
Síntomas
Los síntomas de una amigdalitis atienden al tipo de la patología. Dependiendo de si se trata de una amigdalitis (tonsilitis, angina tonsilaris) aguda o crónica]], se presentan unos síntomas u otros.
- Dolor creciente en la zona superior de la garganta.
- Al tragar o al abrir la boca para bostezar el dolor puede extenderse hasta los oídos.
- Fatiga, dolor de cabeza y fiebre.
Nota: En muchos casos, aumenta la producción de saliva y la voz suena opaca.
Diagnóstico
El diagnóstico de una amigdalitis (tonsilitis, angina tonsilaris) no es complicado. Un examen breve suele ser suficiente para que un médico diagnostique una inflamación de las amígdalas. Si fuera necesario se solicitan pruebas complementarias.
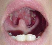
El diagnóstico de una amigdalitis aguda (tonsilitis aguda) se realiza haciendo un examen de la boca del paciente. Unas amígdalas enrojecidas e inflamadas, así como una capa purulenta (manchas blancas) en su superficie, son indicios de una amigdalitis aguda purulenta. Cuando el médico palpa el cuello, el paciente suele sentir dolor en la región de los ganglios linfáticos inflamados, lo cual es otro indicio de una posible amigdalitis. Al mismo tiempo, las cavidades amigdalinas pueden estar enrojecidas y la boca sucia con sarro.
El diagnóstico de una amigdalitis se emite, casi siempre, por medio de un simple diagnóstico visual y, en la mayoría de los casos, no es necesario realizar pruebas complementarias como un análisis de sangre. Solo en casos concretos se realiza la toma de una muestra faríngea para determinar el agente patógeno responsable de la amigdalitis. Esto solo se suele solicitar si existe sospecha de amigdalitis crónica o si el médico estima oportuno determinar la etiología de una amigdalitis aguda. El test rápido es una prueba que se emplea en las urgencias hospitalarias para determinar si una amigdalitis bacteriana está causada por bacterias de tipo estreptococo A.
Tratamiento
El tratamiento de una amigdalitis depende de la evolución, de los síntomas y de la etiología de la inflamación de las amígdalas . En caso de una amigdalitis aguda el tratamiento consiste, en primer lugar, en medicamentos analgésicos y antipiréticos pautados por el médico.
Recomendaciones
En caso de amigdalitis se recomienda ingerir únicamente alimentos blandos y no demasiado picantes y especiados. Es importante beber mucho líquido. Lo más recomendable es evitar las bebidas gaseosas y elegir agua, infusiones y zumos de fruta, por su alto contenido en vitamina C.
Aun así, los ácidos de los zumos pueden irritar aún más las amígdalas inflamadas y hacer que se sienta quemazón en la garganta. Las bebidas frías o el hielo pueden aliviar las molestias en la deglución pero teniendo una infección no es prudente tomar hielo o cosas demasiado frías.
Se recomienda renunciar al tabaco porque la nicotina agrava los síntomas propios de la enfermedad. La curación completa de una amigdalitis aguda puede durar entre una y seis semanas.
Pronóstico
La evolución de una amigdalitis suele ser buena si no se producen complicaciones. Una amigdalitis aguda (tonsilitis aguda) tiene, por lo general, un buen pronóstico. Una amigdalitis aguda se resuelve sin complicaciones tras una o dos semanas si el tratamiento es el adecuado. Sin embargo, una amigdalitis crónica (tonsilitis crónica) permanece. La extirpación quirúrgica de las amígdalas mejora los síntomas y el estado general de salud del paciente.
Complicaciones
Una amigdalitis puede provocar complicaciones. En una amigdalitis aguda, las amígdalas pueden aumentar de tamaño y provocar asfixia. Esta situación, sin embargo, no es muy frecuente. Hay que tener especial precaución con los niños porque durante la infancia las amígdalas están dilatadas de por sí (hiperplasia tonsilar) y esto puede dificultar la respiración.
En caso de amigdalitis crónica también pueden darse complicaciones por agentes patógenos. Esto se debe a la presencia permanente de bacterias por la infección crónica. Por esta razón, las amígdalas inflamadas pueden ser el origen de enfermedades secundarias. Así, una amigdalitis causada por estreptococos puede causar fiebre reumática, nefritis, inflamaciones cardiacas, inflamaciones de las articulaciones (reumatismo articular) o dermatosis progresiva. En estos casos pueden producirse daños permanentes en los órganos afectados como, por ejemplo, un defecto valvular).
Tanto en una amigdalitis aguda como en una amigdalitis crónica pueden producirse abscesos como posible complicación. En este caso, el pus se acumula en el tejido próximo. Se habla entonces de absceso peritonsilar. Los indicios pueden ser fuertes dolores durante la deglución, incapacidad de deglutir, una apertura de boca dolorosa y difícil (rigidez de la mandíbula o trismo) o una prominencia irregular del paladar blando.
Las amígdalas están muy hinchadas y empujan la campanilla hacia un lado. El peligro radica en que los gérmenes accedan al torrente sanguíneo y se extiendan por todo el cuerpo (sepsis), lo que puede provocar graves enfermedades en otros órganos. En este caso siempre se administran antibióticos intravenosos. Si se forma un absceso es necesaria una intervención quirúrgica rápida.
Prevención
Una amigdalitis solo se puede prevenir indirectamente. Es importante reforzar el sistema inmunitario haciendo deporte de forma regular y con una alimentación rica en vitaminas y equilibrada. De este modo se reduce el riesgo de padecer una amigdalitis.
Para prevenir una amigdalitis es muy importante evitar el contacto directo con personas que estén cursando la enfermedad para evitar contagios Además, se recomienda evitar sustancias que irritan las mucosas, como el humo del tabaco, el polvo o el alcohol.


