Pseudoquiste pancreático
| ||||
Pseudoquiste pancreático es un saco lleno de líquido en el abdomen, que también puede contener tejido del páncreas, enzimas pancreáticas y sangre recubierto por una pared no epitelizada que se produce como resultado de una pancreatitis aguda, pancreatitis crónica, traumatismo pancreático u obstrucción del conducto pancreático. El páncreas es un órgano localizado detrás del estómago que produce químicos (llamados enzimas) necesarios para digerir el alimento
Sumario
- 1 Incidencia y factores de riesgo
- 2 Etiología del Pseudoquiste pancreático
- 3 Síntomas
- 4 Diagnósticos Clínicos Diferenciales del Pseudoquiste pancreático
- 5 Clasificación
- 6 Topografía de los quistes extrapancreatico
- 7 Signos y exámenes
- 8 Tratamiento
- 9 Técnicas Quirúrgicas de Drenaje Interno
- 10 Prevención
- 11 Complicaciones de los seudoquistes
- 12 Fuentes
Incidencia y factores de riesgo
El páncreas es un órgano localizado detrás del estómago que produce químicos (llamados enzimas) necesarios para digerir el alimento. También produce las hormonas insulina y glucagón. Los seudoquistes pancreáticos se desarrollan generalmente después de un episodio de pancreatitis aguda y grave. La pancreatitis aguda es la hinchazón (inflamación) súbita del páncreas. También puede ocurrir después de traumatismo al abdomen, con más frecuencia en los niños. El quiste se presenta cuando los conductos (tubos) en el páncreas se dañan por la inflamación o hinchazón que ocurre durante la pancreatitis. Un seudoquiste pancreático también puede ocurrir después de traumatismo al abdomen y en alguien que padece pancreatitis aguda Se presenta con un ligero predominio en el sexo masculino en una proporción de 1,5:1 y aunque no se plantea una edad predominante es mas frecuente entre la cuarta y sexta décadas de la vida
Etiología del Pseudoquiste pancreático
Infancia: 1-
- Congénito (asociado a duplicidad gástrica).
- Adquirido (Postraumatismos).
Adultos: 1- Adquiridos
- Postinflamatorios.
- Postraumáticos.
- Idiopáticos
Síntomas
Los síntomas pueden manifestarse en cuestión de días a meses después de un ataque de pancreatitis y abarcan:
- Distensión abdominal
- Dolor constante o profundo en que también puede sentirse en la espalda
- Dificultad para comer y digerir el alimento
Diagnósticos Clínicos Diferenciales del Pseudoquiste pancreático
- Quistes y tumores no quietitos de: (Páncreas, Hígado, Riñón Bazo, Epiplón, Mesenterio).
- Hidronefrosis o Absceso Perirrenal.
- Hematoma o Absceso Hepático.
- Hidropiocolecisto.
- Aneurisma Aórtico.
- Pseudomotor de la Cirrosis Hepática.
- Pseudoquiste Esplénico.
- Edema peripancreático.(Pseudos pseudoquiste pancreático)
Clasificación
Walter Hess
- Intrapancreaticos.
- Extrapancreaticos.
Localizaciones de los extrapancreaticos
- Espacios vecinos.
- Grandes distancias:
- Cuello, mediastino, pelvis.
Topografía de los quistes extrapancreatico
- Forma Intergastrocolica.
- Forma Interhepatogástrica.
- Forma Submesocólica.
- Forma Interhepatoduodenal.
- Forma Intergastroduodenal.
- Forma Interpancreatolienal.
- Forma Retrogástrica.
- Forma Retroperitoneal de la cola.
Signos y exámenes
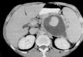
El médico puede palpar el abdomen para sentir el seudoquiste, el cual se aprecia como una masa en la parte media o superior izquierda del abdomen. Los exámenes que pueden ayudar a diagnosticar el seudoquiste pancreático son:
- Tomografía computarizada del abdomen
- Resonancia magnética del abdomen
- Ecografía abdominal
Tratamiento
El tratamiento depende del tamaño del seudoquiste y si está o no causando síntomas. Muchos seudoquistes desaparecen espontáneamente. Los seudoquistes que permanecen por más de 6 semanas y que son mayores a 5 cm en diámetro a menudo necesitan cirugía. Los tratamientos quirúrgicos abarcan:
- Drenaje percutáneo a través de la piel utilizando una aguja, por lo regular con la guía de una tomografía computarizada.
- Drenaje asistido por Endoscopía en el cual se utiliza un endoscopio (una sonda que contiene una pequeña cámara con luz y que se baja hasta el estómago).
- Drenaje quirúrgico del seudoquiste, lo cual implica realizar una conexión entre el quiste y el estómago o el intestino delgado. Esto se puede hacer empleando un laparoscopio.
Técnicas Quirúrgicas de Drenaje Interno
Pancreatocistoyeyunostomía de Henle-Ducombe
- Buscar punto más bajo del quiste.
- Si es necesario, sección del ligamento gastrocólico, mesocolon transverso o ligamento gastrohepático.
- Estructuras íntimamente adheridas a la pared que es necesario liberar aproximadamente el ancho de la mano.
- Puncionarlo y abrirlo aproximadamente 5 cm.
- Sección de asa yeyunal y anastomosis del muñón distal en la apertura, en dos capas.
- A aproximadamente 60 cm de esta unión se implanta el muñón próximal del yeyuno por anastomosis termino-lateral en Y de Roux.
Pancreatocistogastrostomía según Jedlicka
- Quiste que sobresale con su polo inferior por debajo de la curvatura mayor del estómago.
- Incindir ligamento gastrocólico y liberar pared del quiste.
- Disecar pared gástrica, área de la curvatura mayor, aproximadamente 8 cm.
- Punción y aspiración del contenido del quiste.
- Abrir estómago a aproximadamente 5 cm de la curvatura mayor, pared posterior.
- Anastomosis de la apertura gástrica a la del quiste en dos planos.
Pancreatocistogastrostomía según Jurasz
- El estómago recubre totalmente el quiste, con su punto más declive contra la pared de la víscera.
- Abrir pared anterior del estómago cerca de la curvatura mayor, incisión cerca de 10 cm.
- Punción del quiste por la pared gástrica en su punto más declive.
- Apertura por sección de la pared del estómago y del quiste íntimamente adherida a este).
- Unir ambos bordes libres del estómago y del quiste por sutura contínua.
- Cierre pared anterior del estómago.
Prevención
La forma de prevenir los seudoquistes pancreáticos es por medio de la prevención de la pancreatitis. Si la pancreatitis es causada por cálculos biliares, generalmente es necesario extirpar la vesícula biliar con cirugía colecistectomía. Cuando la pancreatitis ocurre debido a ingestión excesiva de alcohol, el paciente debe dejar de consumir esta bebida para prevenir ataques futuros.
Complicaciones de los seudoquistes
- Se puede desarrollar un absceso pancreático si el seudoquiste se infecta.
- El seudoquiste se puede romper (ruptura), lo cual puede ser una complicación seria debido a que se puede presentar shock o sangrado en exceso (hemorragia).
- El seudoquiste puede ejercer presión (comprimir) órganos adyacentes.
- Hemorragia
- Al tracto gastrointestinal, intraquística o intraperitoneal.
- Por erosión de vasos mayores arteria esplénica, gastroduodenal, hepática o cólica media. En los pacientes estables, el diagnóstico es por arteriografía, que permite su embolización, o por TAC contrastada; si se operan urgentes, que es lo más frecuente, extirpar quiste y vaso.
- En ocasiones se manifiesta como hemobilia o melena, al sangrar al TGI.
- Si rotura a cavidad, síntomas y signos de peritonitis. Su tratamiento es quirúrgico, drenar quiste al exterior.
- Al TGI, vómitos y diarreas, no suele ser muy urgente, generalmente al estómago, colon o duodeno.
- Se reconocen por desaparición súbita del seudoquiste. Hacen una fístula, cuyo tratamiento es el reposo, nutrición parenteral total u octeotrido, o de ser posible, colocar stent por CPRE por 4 a 6 semanas.
- Rotura al Tracto Gastrointestinal o cavidad:
- En las primeras semanas como complicación de pancreatitis aguda grave. Debe diferenciarse de la necrosis pancreática infectada.
- Se anuncia por fiebrey leucocitosis en un paciente no muy enfermo.
Fuentes
- [ http:// www.16deabril.sld.cu/rev/243/pseudoquiste_pancreatico.htmlwww.16 de Abril.sld.cu]
- NLM.NHI.gov
- Revista Scielo
- Infodoctor.org
- Monografias.com


