Leucemia cutánea aleucémica
Leucemia cutánea aleucémica. A la invasión cutánea por células leucémicas en ausencia de afectación de sangre periférica y/o médula ósea. Aunque se desconocen los mecanismos patogénicos de esta enfermedad, está ampliamente aceptado su pronóstico grave. En la mayoría de los casos publicados se describe la expresión completa del proceso hematológico (con mayor frecuencia leucemias agudas monocíticas o granulocíticas) en los 10-14 meses posteriores al inicio del cuadro cutáneo, así como una supervivencia media de unos 22 meses.
Causas
- Entre los adultos, las causas conocidas son naturales y artificiales de radiación ionizante, algunos virus como el virus linfotrópico T humano, y el benceno algunos productos químicos, en particular los agentes alquilantes y quimioterapia para enfermedades anteriores.
- El consumo de tabaco, los estudios se asocia con un pequeño aumento en el riesgo de desarrollar leucemia mieloide aguda en adultos. La exposición a algunos productos petroquímicos y tintes para el cabello pueden provocar el desarrollo de algunas formas de leucemia. Unos pocos casos de transmisión materno-fetal han sido reportados. La dieta tiene muy poco o ningún efecto, a pesar de comer más verduras puede conferir un beneficio protector pequeño.
- Los virus también han sido vinculados a algunas formas de leucemia. Los experimentos en ratones y otros mamíferos han demostrado la pertinencia de los retrovirus de la leucemia y retrovirus humanos también han sido identificados.
- El primer retrovirus humano identificado fue el virus linfotrópico T humano o HTLV-1, se sabe que causa la leucemia de células T. Algunas personas tienen una predisposición genética hacia la leucemia en desarrollo. Esta predisposición se demuestra por las historias familiares y los estudios de gemelos.
Incidencias
Incide, preferentemente, en pacientes de edad y se presenta con citopenias y escasos blastos en la sangre periférica. La baja incidencia de asociación entre síndromes mielodisplásicos y leucemias cutáneas aleucémicas, así como la sorprendente resolución espontánea de las lesiones cutáneas en nuestro caso. La leucemia cutánea aleucémica afecta casi exclusivamente a adultos , sin observarse diferencias entre ambos sexos. Las manifestaciones clínicas son muy variadas, siendo la presentación más frecuente en forma de múltiples pápulas y nódulos eritematovioláceos, indoloros, con diferente grado de infiltración y en distintas localizaciones. Con frecuencia se produce un aumento del número y extensión de las lesiones en un corto intervalo de tiempo.
Síntomas
Estos síntomas pueden incluir náuseas, fiebre, escalofríos, sensación de fatiga, sudores nocturnos y otros síntomas parecidos a la gripe. Algunos pacientes experimentan náuseas o sensación de plenitud debido al agrandamiento del hígado y el bazo, lo que puede resultar en la pérdida de peso involuntaria. Si las células leucémicas invaden el sistema nervioso central, pueden ocurrir síntomas neurológicos (sobre todo dolores de cabeza). Todos los síntomas asociados con la leucemia pueden ser atribuidos a otras enfermedades. En consecuencia, la leucemia es siempre diagnosticada mediante pruebas médicas.
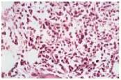
Diagnóstico
El diagnóstico viene dado por la demostración histológica de la invasión cutánea por células leucémicas en ausencia de afectación de médula ósea o sangre periférica. El hallazgo típico en la biopsia es la existencia de un infiltrado monomorfo en dermis reticular, compuesto por células de tamaño medio, con núcleos irregulares y citoplasma pálido. El estudio inmunofenotípico de dichas células demuestra su carácter monoclonal y, habitualmente, su pertenencia a la serie monocitohistiocitaria (CD4, CD43, CD45Ra, CD68, CD15 positivos). Otras tinciones histológicas que igualmente confirman la estirpe granulocítica del infiltrado son las tinciones para cloracetato esterasa, lisozima y antimieloperoxidasa.
Tratamiento
El tratamiento de la leucemia cutánea aleucémica ha sido muy discutido. En la actualidad la mayoría de los autores coinciden en que el empleo de quimioterapia (en especial, la quimioterapia de inducción de las leucemias mieloides agudas) alarga la supervivencia de estos pacientes y previene el desarrollo posterior de leucemia. Sin embargo, algunos trabajos rechazan la quimioterapia en leucemias cutáneas aleucémicas asociadas a síndromes mielodisplásicos, alegando que en estos casos no parece prolongar la supervivencia. . En ocasiones se asocia radioterapia con haz de electrones al tratamiento quimioterápico, cuyo efecto se limita a las lesiones cutáneas, sin afectar a médula ósea. el tratamiento más adecuado en nuestro caso (hidroxiurea, tratamiento de inducción en leucemias mielomonocíticas crónicas) se dirige especialmente a disminuir las cifras de blastos en sangre periférica. Dado que en nuestro caso el proceso hematológico no presentaba afectación sanguínea, este tratamiento no parecía estar indicado. Por otro lado, se consideró el papel de la quimioterapia para prevenir leucemizaciones posteriores.
Pronóstico
El pronóstico de las leucemias cutáneas aleucémicas asociadas a síndromes mieloproliferativos es pobre. En la mayoría de los casos, en los 10-14 meses siguientes al cuadro cutáneo, la neoplasia se manifiesta por completo en sangre y/o en médula ósea, y en más de la mitad de los casos la supervivencia es menor de tres meses tras el diagnóstico hematológico. Algunos trabajos apuntan como factores de peor pronóstico la existencia de determinadas alteraciones cromosómicas en médula ósea, como son el alto número de deleciones, la trisomía o la monosomía, en pacientes con leucemias cutáneas aleucémicas asociadas a síndromes mielodisplásicos. Por otro lado, la mayoría de los autores consideran que la aparición de una leucemia cutánea en el seno de un síndrome miel odisplásico es un signo pronóstico de leucemización.
