Diferencia entre revisiones de «Displasia cortical»

(Etiqueta: nuestro-nuestra)
(corrijo)
(Etiqueta: nuestro-nuestra)
(No se muestran 2 ediciones intermedias del mismo usuario)
Línea 1: Línea 1:
 
{{Sistema:Moderación_Salud}}
 
{{Sistema:Moderación_Salud}}
 +
 
{{Enfermedad
 
{{Enfermedad
|nombre=Displasia Cortical Focal
+
|nombre = Displasia cortical focal
|imagen_del_virus= Dcf0.jpg
+
|imagen_del_virus = Dcf0.jpg
|tamaño=
+
|tamaño =
|descripción=  
+
|descripción =
|imagen_de_los_sintomas=
+
|imagen_de_los_sintomas =
|tamaño2=
+
|tamaño2 =
|descripción2=Malformaciones de la corteza cerebral
+
|descripción2 = Malformaciones de la corteza cerebral
|clasificacion=Neurología
+
|clasificacion = neurología
|region_de_origen=
+
|region_de_origen =
|region_mas_comun= Cerebro
+
|region_mas_comun = cerebro
|agente_transmisor=
+
|agente_transmisor =
|forma_de_propagacion= Malformación Genética
+
|forma_de_propagacion = malformación genética
|vacuna=
+
|vacuna =
 
}}
 
}}
<div align="justify">
 
'''Displasia Cortical Focal (DCF)'''. La displasia cortical ocurre cuando las células cerebrales, o neuronas, en desarrollo de un [[embrión]] o [[feto]] no logran alcanzar las partes de la materia gris del cerebro para las que están destinadas genéticamente. Como resultado, aquellas áreas de la corteza carecen de las conexiones neuronales apropiadas para funcionar correctamente. Las áreas corticales afectadas pueden ser pequeñas y definidas o pueden incluir a todo un hemisferio del cerebro.
 
  
La displasia cortical forma parte de las conocidas ''“malformaciones del desarrollo cortical” (MDC)'', un grupo variado de patologías que destaca principalmente por un desarrollo alterado de la estructura de la corteza cerebral.
+
La '''displasia cortical focal''' ('''DCF''') ocurre cuando las células cerebrales (o neuronas) en desarrollo de un [[embrión]] o [[feto]] no logran alcanzar las partes de la materia gris del cerebro para las que están destinadas genéticamente. Como resultado, aquellas áreas de la corteza carecen de las conexiones neuronales apropiadas para funcionar correctamente. Las áreas corticales afectadas pueden ser pequeñas y definidas o pueden incluir a todo un hemisferio del cerebro.
 +
 
 +
La displasia cortical forma parte de las conocidas «malformaciones del desarrollo cortical» (MDC), un grupo variado de patologías que destaca principalmente por un desarrollo alterado de la estructura de la corteza cerebral.
  
 
== Antecedente ==
 
== Antecedente ==
La primera descripción de "displasias focales" fue realizada por ''Taylor''<ref>Harding BN, Copp AJ. ''Malformations.'' En: Graham DI, Lantos PL (eds.). Greenfield’s Neuropathology. 7th Ed. London: Arnold; [[2002]], Vol I, Chapt 7, p. [[357]]-[[483]]. en [[1971]]</ref>, en pacientes con epilepsia fármaco resistente, para describir anormalidades focales de la estructura de la corteza cerebral caracterizadas por alteración de laminación, neuronas dismórficas y células en balón.
 
  
Los mecanismos fisiopatológicos por cuales las DCFs generan epilepsias no son claros<ref>Lahl R, Villagrán R, Teixeira W. ''Neuropatología de las epilepsias sintomáticas con consideración especial de las formas focales crónicas resistentes al tratamiento medicamentoso.'' En: Cruz SFF (ed.). ''[[Neuropathología]]. Diagnóstico y Clínica''. [[Madrid]]: EDIMSA; [[2000]], Cap. 37, p. [[828]]-[[78]].</ref>, sin embargo el tejido displásico tendría una epileptoge-nicidad intrínseca<ref>Kalter H. Five-decade international trends in the relation of perinatal mortality and congenital malformations: still-birth and neonatal death compared. Int J Epidemiol [[1991]]; [[20]]: [[173]]-[[9]].</ref>
+
La primera descripción de «displasias focales» fue realizada por Taylor en pacientes con epilepsia fármacorresistente, para describir anormalidades focales de la estructura de la corteza cerebral caracterizadas por alteración de laminación, neuronas dismórficas y células en balón.<ref>Harding BN, Copp AJ. «Malformations», en: Graham DI, Lantos PL (eds.): ''Greenfield’s Neuropathology''. 7th Ed. London: Arnold; 2002, Vol I, Chapt 7, p. 357-483. en 1971</ref>
  
== Desarrollo embriológico de la Corteza Cerebral ==
+
Los mecanismos fisiopatológicos por cuales las DCF<!--los acrónimos no se pluralizan--> generan epilepsias no son claros.<ref>Lahl, R.; Villagrán, R.; Teixeira, W. (2000): «Neuropatología de las epilepsias sintomáticas con consideración especial de las formas focales crónicas resistentes al tratamiento medicamentoso». En: Cruz, S.&nbsp;F.&nbsp;F. (ed.): ''Neuropatología. Diagnóstico y clínica''. [[Madrid]] (España): EDIMSA; capítulo&nbsp;37, pág. 828-878; 2000.</ref>
El [[cerebro]] se comienza a desarrollar antes del nacimiento, en el [[período intrauterino]] y pasa por diversas fases que pueden solaparse entre sí.  
+
Sin embargo, el tejido displásico tendría una epileptogenicidad intrínseca.<ref>Kalter H. (1991): «Five-decade international trends in the relation of perinatal mortality and congenital malformations: still-birth and neonatal death compared», artículo en la revista ''International Journal of Epidemiology'', 20: págs.&nbsp;173-179; 1991.</ref>
  
La corteza cerebral tiene una estructura altamente organizada y se encuentra ampliamente conectada con el resto de las estructuras encefálicas y la [[médula espinal]]. Su formación es compleja y ocurre en etapas temporal y espacialmente ordenadas, incluso con la formación de estructuras transitorias que finalmente desaparecen.
+
== Desarrollo embriológico de la corteza cerebral ==
  
Se han identificado tres principales etapas consecutivas del desarrollo de la corteza cerebral, cada una parcialmente sobrepuesta con la siguiente, conocidas como: '''''etapa de proliferación y diferenciación celular''''', '''''etapa de migración neuronal''''' y '''''etapa de organización cortical'''''<ref>Blümcke I, et al. ''Ammon’s horn sclerosis: a maldevelopmental disorder associated with temporal lobe epilepsy.'' Brain Pathol [[2002]]; [[12]]:[[199]]-[[211]].</ref><ref>Kuzniecky RI, et al. ''Temporal lobe developmental malformations andepilepsy. Dual pathology and bilateral hippocampal abnormalities.''Neurology [[1998]]; [[50]]: [[748]]-[[54]].</ref><ref>7. Wolf HK, et al. ''Glioneuronal malformative lesions and dysembryoplastic neuroepithelial tumors in patients with chronic pharmacoresistant epilepsies.'' J Neuropath Exper Neurol [[1995]]; [[34]]: [[245]]-[[54]].</ref>
+
[[Archivo:Dcf5.JPG|miniatura|Figura 1. [[Corteza cerebral]]. Nótese el engrosamiento de la sustancia gris cortical y la mala definición entre la sustancia gris y la sustancia blanca.]]
  
*La '''etapa de proliferación y diferenciación celular''' ocurre a nivel periventricular en el interior de la matriz germinal, entre la 5<sup>ta</sup> y 20<sup>ma</sup> semana de [[gestación]]. Las células germinales se multiplican y se diferencian tanto en neuronas como en células guales.
+
El [[cerebro]] se comienza a desarrollar antes del nacimiento, en el período intrauterino y pasa por diversas fases que pueden solaparse entre sí.
  
*La '''etapa de migración''' ocurre entre la 6<sup>ta</sup> y 22<sup>da</sup> semanas de gestación. En esta etapa, las neuronas se adhieren a una fibra glial radial y cambian de posición desde la región periventricular hasta su posición final en la corteza cerebral.
+
La corteza cerebral tiene una estructura altamente organizada y se encuentra ampliamente conectada con el resto de las estructuras encefálicas y la [[médula espinal]]. Su formación es compleja y ocurre en etapas temporal y espacialmente ordenadas, incluso con la formación de estructuras transitorias que finalmente desaparecen.
  
**La corteza cerebral normal contiene numerosas células, localizadas en sitios específicos que le otorgan una arquitectura característica; se organiza en [[6]] capas que se enumeran desde la capa I, o molecular, hasta la capa [[VI]] o capa multiforme, sin embargo el proceso de migración se produce desde las capas más profundas hasta las capas más superficiales.
+
Se han identificado tres principales etapas consecutivas del desarrollo de la corteza cerebral, cada una parcialmente sobrepuesta con la siguiente, conocidas como: «etapa de proliferación y diferenciación celular», «etapa de migración neuronal» y «etapa de organización cortical».<ref>Blümcke, I., et al. (2002): «Ammon’s horn sclerosis: a maldevelopmental disorder associated with temporal lobe epilepsy», en ''Brain Pathology'', 12: págs.&nbsp;199-211; 2002.</ref><ref>Kuzniecky, R. I., et al. (1998): «Temporal lobe developmental malformations andepilepsy. Dual pathology and bilateral hippocampal abnormalities», en ''Neurology'', 1998; 50: págs.&nbsp;748-754.</ref><ref>Wolf, H. K., et al. (1995): «Glioneuronal malformative lesions and dysembryoplastic neuroepithelial tumors in patients with chronic pharmacoresistant epilepsies», artículo en ''Journal of Neuropathy Experimental Neurology'', 1995; 34: págs.&nbsp;245-254.</ref>
  
*La '''etapa de organización cortical''', que depende en parte del proceso de migración, ocurre entre las 22<sup>da</sup> semana de gestación hasta los [[2]] años de [[vida]]. Las neuronas se diferencian en distintos subtipos celulares como células piramidales, células estrelladas, células multipolares y otras, que se organizan en láminas horizontales, conformando un patrón cito-arquitectónico cortical normal.
+
* La «etapa de proliferación y diferenciación celular» ocurre a nivel periventricular en el interior de la matriz germinal, entre la 5.<sup>ta</sup> y 20.<sup>ma</sup> semana de [[gestación]]. Las células germinales se multiplican y se diferencian tanto en neuronas como en células guales.
 +
* La «etapa de migración» ocurre entre la 6.<sup>ta</sup> y 22.<sup>da</sup> semanas de gestación. En esta etapa, las neuronas se adhieren a una fibra glial radial y cambian de posición desde la región periventricular hasta su posición final en la corteza cerebral.
 +
* La corteza cerebral normal contiene numerosas células, localizadas en sitios específicos que le otorgan una arquitectura característica; se organiza en 6&nbsp;capas que se enumeran desde la capa I, o molecular, hasta la capa&nbsp;VI o capa multiforme, sin embargo el proceso de migración se produce desde las capas más profundas hasta las capas más superficiales.
 +
* La «etapa de organización cortical», que depende en parte del proceso de migración, ocurre entre las 22.<sup>da</sup> semana de gestación hasta los 2&nbsp;años de vida. Las neuronas se diferencian en distintos subtipos celulares como células piramidales, células estrelladas, células multipolares y otras, que se organizan en láminas horizontales, conformando un patrón [[célula|cito]]arquitectónico cortical normal.
  
 
Las etapas principales del desarrollo de la corteza cerebral son la proliferación y diferenciación celular, migración y organización de las células en sus áreas correspondientes y mielinización.
 
Las etapas principales del desarrollo de la corteza cerebral son la proliferación y diferenciación celular, migración y organización de las células en sus áreas correspondientes y mielinización.
 +
 
Evidentemente, si hay cualquier tipo de alteración en estos procesos el desarrollo cortical va a verse perjudicado y se reflejará en diversos déficits cognitivos y conductuales.
 
Evidentemente, si hay cualquier tipo de alteración en estos procesos el desarrollo cortical va a verse perjudicado y se reflejará en diversos déficits cognitivos y conductuales.
  
'''''Histológicamente''''' se definen las siguientes capas:
+
[[Histología|Histológicamente]] se definen las siguientes capas:
*La capa I ''(molecular)'' no tiene neuronas.  
+
* La capa I (molecular) no tiene neuronas.
*La células piramidales se localizan en las capas III ''(piramidal externa)''.
+
* La células piramidales se localizan en las capas III (piramidal externa).
*La capa V ''(piramidal interna)''; se caracterizan por su tamaño y orientación perpendicular a la superficie cortical. Las células piramidales normales de mayor tamaño se localizan en la capa V.
+
* La capa V (piramidal interna); se caracterizan por su tamaño y orientación perpendicular a la superficie cortical. Las células piramidales normales de mayor tamaño se localizan en la capa V.
  
 
=== Abnormalidad ===
 
=== Abnormalidad ===
 +
 +
[[Archivo:Dcf6.JPG|miniatura|Figura 2. [[Corteza cerebral]]. DCF. La capa molecular aparece a la derecha de la imagen. La microfotografía muestra grupos de neuronas grandes y pequeñas, irregularmente dispersos en el espesor de las capas corticales. Corte teñido con método inmunohistoquímico para NeuN.]]
 +
 
Las tres etapas del desarrollo cortical normal no se encuentran temporalmente separadas, la proliferación continúa luego que la migración comienza y la migración continúa después que se ha realizado. Hay que destacar que la célula que resulta de una proliferación anormal, frecuentemente no migra ni se organiza adecuadamente.
 
Las tres etapas del desarrollo cortical normal no se encuentran temporalmente separadas, la proliferación continúa luego que la migración comienza y la migración continúa después que se ha realizado. Hay que destacar que la célula que resulta de una proliferación anormal, frecuentemente no migra ni se organiza adecuadamente.
  
'''''a.''' Alteraciones de la proliferación'':
+
''a'') Alteraciones de la proliferación:
Las alteraciones de la proliferación se manifiestan por una disminución de la proliferación ''(microli-sencefalia)'', por un aumento de la proliferación celular ''(hemimegalencefalia)'' o por una proliferación anormal ''(displasia cortical focal tipo II)''.
+
 
 +
Las alteraciones de la proliferación se manifiestan por una disminución de la proliferación (micro-lisencefalia), por un aumento de la proliferación celular (hemimegalencefalia) o por una proliferación anormal (displasia cortical focal tipo&nbsp;II).
  
'''''b.''' Alteraciones de migración:''
+
''b'') Alteraciones de migración:
Las alteraciones de la migración pueden producir una disminución de la migración ''(lisencefalia)'', una detención precoz de la migración con neuronas mal posicionadas a nivel periventricular o en la sustancia blanca (heterotopía periventricular o en banda), o en una sobremigración ''(distrofia muscular congénita)''.
 
  
'''''c.''' Alteraciones de la organización:''
+
Las alteraciones de la migración pueden producir una disminución de la migración (lisencefalia), una detención precoz de la migración con neuronas mal posicionadas a nivel periventricular o en la sustancia blanca (heterotopía periventricular o en banda), o en una sobremigración (distrofia muscular congénita).
Las alteraciones de la organización producen trastornos de la estructura de la corteza como la polimicrogiria, esquizencefalia o displasias corticales focales tipo I.
 
  
'''''Imaginológicamente''''' las alteraciones producidas durante la fase de proliferación se pueden extender desde los ventrículos hasta la superficie pial, mientras que las alteraciones de la fase de migración se localizan en la sustancia blanca y/o corteza. En general, las alteraciones de la organización se encuentran limitadas a la corteza cerebral.<ref>Schwartzkroin PA, Walsh CA. ''Cortical malformations and epilepsy. Mental Retard Developm Disab.'' Research Reviews [[2000]]; [[6]]: [[268]]-[[80]].</ref>
+
''c'') Alteraciones de la organización:
 +
 
 +
Las alteraciones de la organización producen trastornos de la estructura de la corteza como la polimicrogiria, esquizencefalia o displasias corticales focales tipo&nbsp;I.
 +
 
 +
Desde el punto de vista de la imaginología, las alteraciones producidas durante la fase de proliferación se pueden extender desde los ventrículos hasta la superficie pial, mientras que las alteraciones de la fase de migración se localizan en la sustancia blanca y/o corteza. En general, las alteraciones de la organización se encuentran limitadas a la corteza cerebral.<ref>Schwartzkroin, P. A.; y Walsh, C. A. (2000): «Cortical malformations and epilepsy», artículo en la revista ''Mental Retardation and Developmental Disabilities Research Reviews'', 6 (4): págs.&nbsp;268-280.</ref>
  
 
== Epidemiología ==
 
== Epidemiología ==
Se estima que un [[76]]% de los pacientes con DCFs sufren de epilepsia refractaria<ref>Yang QH, et al. ''Trends and patterns of mortality associated with birth defects and genetic diseases in the United States 1979-1992: an analysis of multiple-cause mortality data.'' Genetic Epidemiol [[1997]]; [[14]]: [[493]]-[[505]].</ref>, mientras que en un [[25]]% de los pacientes con crisis epilépticas parciales se ha identificado una DCF como la causa subyacente.<ref>Taylor DC, Falconer MA, Bruton CJ, Corsellis JA. ''Focal dysplasia of the cerebral cortex in epilepsy.'' J Neurol Neurosurg Psychiat [[1971]]; [[34]]: [[369]]-[[87]].</ref>
+
 
 +
Se estima que un 76&nbsp;% de los pacientes con DCF<!--los acrónimos no se pluralizan--> sufren de epilepsia refractaria,<ref>Yang QH, et al. (1997): «Trends and patterns of mortality associated with birth defects and genetic diseases in the United States 1979-1992: an analysis of multiple-cause mortality data», artículo en la revista ''Genetic Epidemiology'', 14: págs.&nbsp;493-505; 1997.</ref> mientras que en un 25&nbsp;% de los pacientes con crisis epilépticas parciales se ha identificado una DCF como la causa subyacente.<ref name=Taylor_Falconer_Burton_Corsellis_1971>Taylor, D. C.; Falconer, M. A.; Burton, C. J.; Corsellis, J. A. (1971): «Focal dysplasia of the cerebral cortex in epilepsy», artículo en ''Journal of Neurology, Neurosurgery, and Psychiatry'', 34: págs.&nbsp;369-387; 1971.</ref>
  
 
== Síntomas ==
 
== Síntomas ==
Las ''convulsiones recurrentes'' en un infante o en un niño muy pequeño son el [[síntoma]] más común de displasia cortical. La actividad cerebral epiléptica que procede de la displasia cortical aparece de modo muy temprano en la vida de un [[niño]] afectado porque las anomalías de la corteza ocurren desde el [[útero]] y ya están presentes al nacer. Otros síntomas neurológicos variarán dependiendo de cuáles partes del cerebro están afectadas.
 
  
*'''''Déficits neurológicos focales:''''' suponen problemas en alguna parte concreta de nuestro funcionamiento debidos a causas cerebrales.
+
[[Archivo:Dcf7.JPG|miniatura|Figura 3. [[Corteza cerebral]]. DCF. Se aprecia dislaminación y desorganización neuronal. Nótese las neuronas gigantes, dismórficas en el espesor cortical. Asimismo, hay abundantes neuronas ectópicas en la capa molecular. Tinción con hematoxilina y eosina.]]
**''Pueden ser muy variados como:'' la sensibilidad de un lado de la cara, el movimiento de una extremidad, la visión de un [[ojo]], dificultades para expresar el habla, problemas de control emocional, etc.
+
 
 +
Las «convulsiones recurrentes» en un infante o en un niño muy pequeño son el [[síntoma]] más común de displasia cortical. La actividad cerebral epiléptica que procede de la displasia cortical aparece de modo muy temprano en la vida de un [[niño]] afectado porque las anomalías de la corteza ocurren desde el [[útero]] y ya están presentes al nacer. Otros síntomas neurológicos variarán dependiendo de cuáles partes del cerebro están afectadas.
 +
 
 +
* '''Déficits neurológicos focales''': suponen problemas en alguna parte concreta de nuestro funcionamiento debidos a causas cerebrales.
 +
** Pueden ser muy variados como: la sensibilidad de un lado de la cara, el movimiento de una extremidad, la visión de un [[ojo]], dificultades para expresar el habla, problemas de control emocional, etc.
  
*'''''Problemas intelectuales:''''' incluso algunas veces puede asociarse con un nivel de inteligencia por debajo de la media, problemas para concentrarse y dificultades para aprender cosas nuevas.
+
* '''Problemas intelectuales''': incluso algunas veces puede asociarse con un nivel de inteligencia por debajo de la media, problemas para concentrarse y dificultades para aprender cosas nuevas.
  
*'''''Retraso en el desarrollo cognitivo y [[psicomotor]]:''''' la mejor manera de saber cómo se está desarrollando un niño pequeño es observar su capacidad motora.
+
* '''Retraso en el desarrollo cognitivo y psicomotor''': la mejor manera de saber cómo se está desarrollando un niño pequeño es observar su capacidad motora.
  
 
== Características macroscópicas de la DCF ==
 
== Características macroscópicas de la DCF ==
En la mayoría de los casos la DCF, como su nombre lo indica, se halla restringida a una o dos circunvoluciones que aparecen ensanchadas y de aspecto anormal ''(disgiria)'' en cualquiera de los lóbulos cerebrales, más frecuentemente en el  [[lóbulo temporal]].
 
  
Al corte, la [[sustancia gris]] puede estar engrosada; la zona de unión con la sustancia blanca muestra límite impreciso, “borroso”, difícil de establecer con exactitud, a veces puede haber islotes ectópicos de sustancia gris en la blanca.
+
En la mayoría de los casos la DCF, como su nombre lo indica, se halla restringida a una o dos circunvoluciones que aparecen ensanchadas y de aspecto anormal (disgiria) en cualquiera de los lóbulos cerebrales, más frecuentemente en el lóbulo temporal.
 +
 
 +
Al corte, la sustancia gris puede estar engrosada; la zona de unión con la sustancia blanca muestra límite impreciso, borroso, difícil de establecer con exactitud, a veces puede haber islotes ectópicos de sustancia gris en la blanca.
  
 
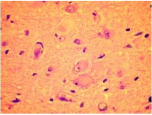
== Características histológicas ==
 
== Características histológicas ==
[[Imagen:Dcf4.JPG|thumb|right|200px|Corteza cerebral. DCF. Células globoides (“balonadas”) en la sustancia blanca subcortical. Tinción con Hematoxilina y Eosina.]]
+
 
La DCFT se caracteriza por desorganización laminar de variable intensidad, con la consiguiente pérdida de la organización columnar y, en los casos graves, presencia en el espesor cortical de neuronas gigantes, dismórficas, ectópicas, mal orientadas, con citoesqueleto relevante desorganizado, caóticamente dispersas en todas las capas corticales excepto en la primera capa; asimismo hay proliferación glial astrocitaria, con ausencia ''(DCF tipo II A)'' o presencia de bizarras células globoides, ''(“balonadas”)'' ''(DCF tipo II B).''
+
[[Archivo:Dcf4.JPG|miniatura|Corteza cerebral. DCF. Células globoides («balonadas») en la sustancia blanca subcortical. Tinción con hematoxilina y eosina.]]
 +
 
 +
La DCFT se caracteriza por desorganización laminar de variable intensidad, con la consiguiente pérdida de la organización columnar y, en los casos graves, presencia en el espesor cortical de neuronas gigantes, dismórficas, ectópicas, mal orientadas, con citoesqueleto relevante desorganizado, caóticamente dispersas en todas las capas corticales excepto en la primera capa; asimismo hay proliferación glial astrocitaria, con ausencia (DCF tipo&nbsp;II&nbsp;A) o presencia de bizarras células globoides (balonadas) (DCF tipo&nbsp;II&nbsp;B).
  
 
=== Otras alteraciones corticales ===
 
=== Otras alteraciones corticales ===
Se caracterizan por excrecencias de [[tejido]] glioneuronal en las leptomeninges, persistencia de abundantes neuronas en la capa cortical I ''(molecular)'' y en la sustancia blanca subcortical abundantes neuronas ectópicas y [[células globoides]] ''(balonadas)'' que semejan astrocitos gemistocíticos, ya que tienen citoplasma abundante, ovoide, de contenido semitransparente, [[eosinófilo]]. Límites imprecisos entre sustancia gris y sustancia blanca. [[Hamartomatosis glioneuronal]]: focos de elementos gliales y neuronales maduros, a veces mezclados con células oligodendroglioides ''(en 15% de cerebros con epilepsia)''.
 
  
Recientemente se describe que algunas de las neuronas citomegálicas, comúnmente presentes en la DCF son en realidad interneuronas,<ref>André VM, et al. ''Cytomegalic interneurons: a new abnormal cell type
+
Se caracterizan por excrecencias de [[tejido]] glioneuronal en las leptomeninges, persistencia de abundantes neuronas en la capa cortical I (molecular) y en la sustancia blanca subcortical abundantes neuronas ectópicas y células globoides (balonadas) que semejan astrocitos gemistocíticos, ya que tienen citoplasma abundante, ovoide, de contenido semitransparente, [[eosinófilo]]. Límites imprecisos entre sustancia gris y sustancia blanca. Hamartomatosis glioneuronal: focos de elementos gliales y neuronales maduros, a veces mezclados con células oligodendroglioides (en 15&nbsp;% de cerebros con epilepsia).
in severe pediatric cortical dysplasia.'' J Neuropathol Exper Neurol [[2007]]; [[66]]: [[491]]-[[504]].</ref> lo cual, además de constituir una reidentificación de esa estructura, tiene significado fisiológico como participante importante en la génesis de las convulsiones, ya que forman parte de circuitos neuronales anormales en la zona afectada.<ref>Crino PB, Miyata H, Vinters HV. ''Neurodevelopmental disorders as a cause of seizures: neuropathologic, genetic, and mechanistic considerations.'' Brain Pathol [[2002]]; [[12]]: [[212]]-[[33]].</ref><ref>Ferrer I, Pineda M, et al. ''Abnormal-local circuit neurons in epilepsia partialis continua associated with focal cortical dysplasia.'' Acta Neuropathol ([[Berlin]]) [[1992]]; [[83]]: [[246]]-[[59]].Es evidente que las interneuronas citomegálicas en la DCF son hiperexcitables.</ref>
+
 
 +
Recientemente se describe que algunas de las neuronas citomegálicas, comúnmente presentes en la DCF son en realidad interneuronas,<ref>André, V. M., et al. (2007): «Cytomegalic interneurons: a new abnormal cell type in severe pediatric cortical dysplasia», artículo en ''Journal of Neuropathology and Experimental Neurology'', 66: págs.&nbsp;491-504; 2007.</ref> lo cual ―además de constituir una reidentificación de esa estructura― tiene significado fisiológico como participante importante en la génesis de las convulsiones, ya que forman parte de circuitos neuronales anormales en la zona afectada.<ref>Crino, P. B.; Miyata, H.; y Vinters, H. V. (2002): «Neurodevelopmental disorders as a cause of seizures: neuropathologic, genetic, and mechanistic considerations», artículo en Brain Pathology'', 12: págs.&nbsp;212-233; 2002.</ref><ref>Ferrer, I.; Pineda, M., et al.: «Abnormal-local circuit neurons in epilepsia partialis continua associated with focal cortical dysplasia», artículo en la revista ''Acta Neuropathology'', 83: págs.&nbsp;246-259. Berlín, 1992. Es evidente que las interneuronas citomegálicas en la DCF son hiperexcitables.</ref>
  
 
El signo más relevante es el aumento de la frecuencia de descarga en comparación con las interneuronas normales.
 
El signo más relevante es el aumento de la frecuencia de descarga en comparación con las interneuronas normales.
  
 
== Clasificación de la DCF ==
 
== Clasificación de la DCF ==
Existen varias clasificaciones, que se aplican indistintamente en la literatura correspondiente. La mayoría de esas clasificaciones se basan en la estructura histológica de las [[malformaciones corticales]], en los hallazgos en los estudios de neuroimagen, sobre todo los de resonancia magnética y en la correlación con las manifestaciones clínicas y los aspectos electroencefalográficos.<ref>Taylor DC, Falconer MA, Bruton CJ, Corsellis JA. ''Focal dysplasia of the cerebral cortex in epilepsy.'' J Neurol Neurosurg Psychiat [[1971]]; [[34]]: [[369]]-[[87]].</ref><ref>Mackay MT, et al. ''Malformations of cortical development with balloon cells: clinical and radiological correlates.'' Neurology [[2003]]; [[60]]: [[580]]-[[7]].</ref><ref>Lawson JA, et al. ''Distinct clinicopathologic subtypes of cortical dysplasia of Taylor.'' Neurology [[2005]]; [[64]]: [[55]]-[[61]].</ref><ref>Tassi I, et al. ''Focal cortical dysplasia: neuropathological subtypes, EEG, neuroimaging and surgical outcome.'' Brain [[2002]]: [[125]]: [[1719]]-[[32]].</ref><ref>Palmini A, et al. ''Terminology and classification of the cortical dysplasias.'' Neurology [[2004]]: [[62]](Suppl. [[3]]): S1-S8.</ref><ref>Barkovich AJ, et al. ''Classification system for malformations of cortical development: update 2001.'' Neurology [[2001]]; [[57]]: [[2168]]-[[78]].</ref><ref>Rickert CH. ''Cortical dysplasia: neuropathological aspects.'' Childs Nerv Sist [[2006]]; [[22]]: [[821]]-[[6]].</ref>Más recientemente han aparecido clasificaciones que incluyen los aspectos genéticos<ref>Tassi I, et al. ''Focal cortical dysplasia: neuropathological subtypes, EEG, neuroimaging and surgical outcome.'' Brain 2002: [[125]]: [[1719]]-[[32]].</ref> de cada una de las malformaciones ''(Tabla 1)''.
+
 
 +
Existen varias clasificaciones, que se aplican indistintamente en la literatura correspondiente. La mayoría de esas clasificaciones se basan en la estructura histológica de las malformaciones corticales, en los hallazgos en los estudios de neuroimagen, sobre todo los de resonancia magnética y en la correlación con las manifestaciones clínicas y los aspectos electroencefalográficos.<ref name=Taylor_Falconer_Burton_Corsellis_1971/><ref>Mackay MT, et al. (2003): «Malformations of cortical development with balloon cells: clinical and radiological correlates», artículo en ''Neurology'', 60: págs.&nbsp;580-587; 2003.</ref><ref>Lawson JA, et al. (2005): «Distinct clinicopathologic subtypes of cortical dysplasia of Taylor», artículo en ''Neurology'', 64: págs.&nbsp;55-61; 2005.</ref><ref>Tassi I, et al. (2002): «Focal cortical dysplasia: neuropathological subtypes, EEG, neuroimaging and surgical outcome», artículo en revista ''Brain'', 125: págs.&nbsp;1719-1732; 2002.</ref><ref name=Palmini_2004>Palmini, A., et al. (2004): «Terminology and classification of the cortical dysplasias», artículo publicado en la revista ''Neurology'' 62 (suplemento&nbsp;3), págs.&nbsp;S1-S8; 2004.</ref><ref>Barkovich AJ, et al. (2001): «Classification system for malformations of cortical development: update 2001», artículo en ''Neurology'', 57: págs.&nbsp;2168-2178; 2001.</ref><ref>Rickert, C. H. (2015): «Cortical dysplasia: neuropathological aspects», artículo en revista ''Child’s Nervous System'', 22: págs.&nbsp;821-826; 2006.</ref>
 +
Más recientemente han aparecido clasificaciones que incluyen los aspectos genéticos de cada una de las malformaciones (tabla&nbsp;1).<ref name=Tassi_I/>
  
 
<center>'''Tabla 1. Clasificación de malformaciones corticales en epilepsia*'''</center>
 
<center>'''Tabla 1. Clasificación de malformaciones corticales en epilepsia*'''</center>
Línea 110: Línea 129:
 
| Esencial para la migracion
 
| Esencial para la migracion
 
|-
 
|-
|  
+
|
 
| Lisencefalia
 
| Lisencefalia
 
| Lis 1
 
| Lis 1
Línea 118: Línea 137:
 
|-
 
|-
 
| Migración interrumpida
 
| Migración interrumpida
| Lisencefalia, (XLIS) heterotropia laminar
+
| Lisencefalia (XLIS) heterotropia laminar
| DCX (XLIS)
+
| DCX (XLIS).
 
| Doblecortin
 
| Doblecortin
 
| Liga y estabiliza tubulina en neuronas en migración
 
| Liga y estabiliza tubulina en neuronas en migración
Línea 131: Línea 150:
 
| Falla de laminación cortical
 
| Falla de laminación cortical
 
| Displasia cortical focal
 
| Displasia cortical focal
| TSC polimorfismo de TSC (y cdk 5)
+
| TSC polimorfismo de TSC (y cdk 5).
| Hamartina (Cdk 5)
+
| Hamartina (Cdk 5).
 
| Interactúa con la ERM, contribuye a la adhesion y tamaño celular
 
| Interactúa con la ERM, contribuye a la adhesion y tamaño celular
 
|-
 
|-
|  
+
|
 
| Microdisgénesis
 
| Microdisgénesis
 
| Presenilina 1
 
| Presenilina 1
|  
+
|
|  
+
|
 
|-
 
|-
 
| Desconocido
 
| Desconocido
Línea 147: Línea 166:
 
| Gene homeobox que conforma el cerebro
 
| Gene homeobox que conforma el cerebro
 
|-
 
|-
|  
+
|
 
| Polimicrogiria focal y generalizada
 
| Polimicrogiria focal y generalizada
 
| PAX 6 mutación identificada en parientes
 
| PAX 6 mutación identificada en parientes
Línea 155: Línea 174:
  
 
=== Clasificación propuesta por Tassi ===
 
=== Clasificación propuesta por Tassi ===
La clasificación propuesta por Tassi<ref>Tassi I, et al. F''ocal cortical dysplasia: neuropathological subtypes, EEG, neuroimaging and surgical outcome.'' Brain [[2002]]: [[125]]: [[1719]]-[[32]].</ref> se basa en la neuropatología, más datos de neuroimagen y genética. Esta clasificación reconoce tres subtipos histológicos: displasia arquitectónica, displasia citoarquitectónica y displasia cortical focal de Taylor en dos variedades: la DCF sin células globoides pero con neuronas dismórficas; la DCFT con células globoides, que constituyen su característica principal.  
+
 
 +
[[Archivo:Dcf8.JPG|miniatura|Figura 4. [[Corteza cerebral]]. DCF. Abundantes neuronas displásicas con neuritas irregulares, y prominente [[citoplasma]], dispersas desordenadamente en las capas corticales. Tinción para neurofilamentos.]]
 +
 
 +
La clasificación propuesta por Tassi se basa en la neuropatología, más datos de neuroimagen y genética.<ref name=Tassi_I>Tassi, I., et al. (2002): «Focal cortical dysplasia: neuropathological subtypes, EEG, neuroimaging and surgical outcome», artículo en la revista ''Brain'', 125: págs.&nbsp;1719-1732; 2002.</ref>
 +
Esta clasificación reconoce tres subtipos histológicos:
 +
displasia arquitectónica,
 +
displasia citoarquitectónica y
 +
displasia cortical focal de Taylor, en dos variedades: la DCF sin células globoides pero con neuronas dismórficas; la DCFT con células globoides, que constituyen su característica principal.
  
 
=== Clasificación propuesta por Palmini ===
 
=== Clasificación propuesta por Palmini ===
La clasificación propuesta por Palmini<ref>Palmini A, et al. ''Terminology and classification of the cortical dysplasias.'' Neurology [[2004]]: [[62]](Suppl. [[3]]): S1-S8.</ref> resulta práctica para exponer las características histológicas:
 
  
#'''Malformación leve de desarrollo cortical:'''
+
La clasificación propuesta por Palmini resulta práctica para exponer las características histológicas:<ref name=Palmini_2004/>
*''Tipo I.'' Neuronas ectópicas en la capa I, capa molecular de la neocorteza
+
 
*''Tipo II.'' Heterotopia neuronal microscópica en capas neocorticales pero no en la capa I, grupos de neuronas mal colocadas.
+
#'''Malformación leve de desarrollo cortical''':
#'''DCF:'''
+
* Tipo I: Neuronas ectópicas en la capa I, capa molecular de la neocorteza
*''Tipo I A.'' Laminación irregular  
+
* Tipo II: Heterotopia neuronal microscópica en capas neocorticales pero no en la capa I, grupos de neuronas mal colocadas.
*''Tipo I B.'' Neuronas gigantes o inmaduras
+
#'''DCF''':
*''Tipo II A.'' Neuronas dismórficas pero no células globoides.
+
* Tipo I A: Laminación irregular
*''Tipo II B.'' Neuronas dismórficas y células globoides
+
* Tipo I B: Neuronas gigantes o inmaduras
 +
* Tipo II A: Neuronas dismórficas pero no células globoides.
 +
* Tipo II B: Neuronas dismórficas y células globoides
  
 
=== Clasificación que propone Barkovich ===
 
=== Clasificación que propone Barkovich ===
La clasificación que propone ''Barkovich'' considera tres grupos:
+
 
# Malformaciones debidas a [[proliferación]]/[[apoptosis]] anormal.
+
La clasificación que propone Barkovich considera tres grupos:
 +
# Malformaciones debidas a proliferación/[[apoptosis]] anormal.
 
# Malformaciones debidas a migración anormal.
 
# Malformaciones debidas a migración anormal.
 
# Malformaciones debidas a migración neuronal anormal tardía.
 
# Malformaciones debidas a migración neuronal anormal tardía.
  
 
== Diagnóstico ==
 
== Diagnóstico ==
 +
 +
[[Archivo:Dcf9.JPG|miniatura|Figura 5. [[Corteza cerebral]]. DCF. [[Células globoides]] (balonadas) en la sustancia blanca subcortical, positivas para proteína acídica glial fibrilar.]]
 +
 
La displasia cortical puede ser difícil de diagnosticar porque las partes afectadas del cerebro varían en cada individuo, pero realizan a través de:
 
La displasia cortical puede ser difícil de diagnosticar porque las partes afectadas del cerebro varían en cada individuo, pero realizan a través de:
 
* Examen neurológico.
 
* Examen neurológico.
* La [[Tomografía axial computarizada]] y Resonancia Magnética.
+
* [[Tomografía axial computarizada]] y resonancia magnética.
 
* [[Electroencefalograma]].
 
* [[Electroencefalograma]].
  
 
==Tratamiento ==
 
==Tratamiento ==
 +
 
Está centrado en el tratamiento y el control de las convulsiones que resultan de la condición, y los métodos utilizados varían con cada paciente. Los medicamentos anti-convulsiones son exitosos en algunos individuos, mientras que otros pueden tener convulsiones tan severas y difíciles de manejar, que la opción más efectiva puede ser la [[cirugía]] para extraer la porción anormal del [[cerebro]].
 
Está centrado en el tratamiento y el control de las convulsiones que resultan de la condición, y los métodos utilizados varían con cada paciente. Los medicamentos anti-convulsiones son exitosos en algunos individuos, mientras que otros pueden tener convulsiones tan severas y difíciles de manejar, que la opción más efectiva puede ser la [[cirugía]] para extraer la porción anormal del [[cerebro]].
  
== Galería ==
+
== Fuentes ==
<gallery>
 
Archivo:Dcf5.JPG|Figura 1. [[Corteza cerebral]]. Nótese el engrosamiento de la sustancia gris cortical y la mala definición entre la sustancia gris y la sustancia blanca.
 
Archivo:Dcf6.JPG|Figura 2. [[Corteza cerebral]]. DCF. La capa molecular aparece a la derecha de la imagen. La microfotografía muestra grupos de neuronas grandes y pequeñas, irregularmente dispersos en el espesor de las capas corticales. Corte teñido con método inmunohistoquímico para NeuN.
 
Archivo:Dcf7.JPG|Figura 3. [[Corteza cerebral]]. DCF. Se aprecia dislaminación y desorganización neuronal. Nótese las neuronas gigantes, dismórficas en el espesor cortical. Asimismo, hay abundantes neuronas ectópicas en la capa molecular. Tinción con Hematoxilina y Eosina.
 
Archivo:Dcf8.JPG| Figura 4. [[Corteza cerebral]]. DCF. Abundantes neuronas displásicas con neuritas irregulares, y prominente [[citoplasma]], dispersas desordenadamente en las capas corticales. Tinción para neurofilamentos.
 
Archivo:Dcf9.JPG| Figura 5. [[Corteza cerebral]]. DCF. [[Células globoides]] (“balonadas”) en la sustancia blanca subcortical, positivas para proteína acídica glial fibrilar.
 
</gallery>
 
 
 
== Referencias ==
 
{{listaref|2}}
 
  
== Fuentes ==
+
{{listaref}}
*[https://muyfitness.com/que-es-la-displasia-cortical_13106947/ ¿Qué es la displasia cortical?], artículo escrito por Michelle Kerns, [[18 de Julio]] de [[2017]].
+
:* Escobar, Alfonso; Boleaga, Bernardo; Vega Gama, J. Gustavo; Weidenheim, Karen M. (2008): [http://revmexneuroci.com/wp-content/uploads/2014/06/Nm083-10.pdf «Displasia cortical focal y epilepsia»], informe de caso. ''Revista Mexicana de Neurociencia'', 9 (3): págs.&nbsp;231-238; mayo-junio de 2008. Consultado el 9 de agosto de 2018.
*[http://www.epilepsiamadrid.com/2016/02/07/el-uso-de-rm-de-7-t-mejora-la-deteccion-de-displasias-corticales-en-un-30/ El uso de RM de 7T mejora la detección de Displasias corticales en un 30%], articulo del Sitio Web [http://www.epilepsiamadrid.com ''Epilepsiamadrid'']. Consultado el [[9 de agosto]] de [[2018]].
+
:* Kerns, Michelle (2017): [https://muyfitness.com/que-es-la-displasia-cortical_13106947/ «¿Qué es la displasia cortical?»], artículo publicado el 18 de julio de 2017 en el sitio web Muy Fitness.
*[https://www.lifeder.com/displasia-cortical/ Displasia Cortical: Causas, Síntomas y Tratamiento]. Por Cinta Martos Silván. Consultado el [[9 de agosto]] de [[2018]].
+
:* Martos Silván, Cinta (2018): [https://www.lifeder.com/displasia-cortical/ «Displasia cortical: causas, síntomas y tratamiento»], artículo publicado en el sitio web Lifeder. Consultado el 9 de agosto de 2018.
*[http://revmexneuroci.com/wp-content/uploads/2014/06/Nm083-10.pdf Displasia cortical focal y epilepsia. Escobar Alfonso, Boleaga Bernardo, Vega Gama J. Gustavo, Weidenheim Karen M]. Reporte de Caso. [https://revmexneuroci.comRevista Mexicana de Neurociencia], [[Mayo]]-[[Junio]], [[2008]]; 9(3): [[231]]-[[238]]. Consultado el [[9 de agosto]] de [[2018]].
+
:* [http://www.epilepsiamadrid.com/2016/02/07/el-uso-de-rm-de-7-t-mejora-la-deteccion-de-displasias-corticales-en-un-30/ «El uso de la resonancia magnética de 7T mejora la detección de displasias corticales en un 30&nbsp;%»], artículo publicado el 7 de febrero de 2016 en el sitio web Epilepsia Madrid (España). Consultado el 9 de agosto de 2018.
*[https://scielo.conicyt.cl/scielo.php?script=sci_arttext&pid=S0717-93082009000400005 Displasis corticales como causa de epilepsia y sus representaciones en las imágenes]. [https://scielo.conicyt.cl/ Revista chilena de radiología], versión On-line ISSN 0717-9308, Rev Chil Radiol [[2009]]; 15 Supl (1):s25-s38. Consultado el [[9 de agosto]] de [[2018]].
+
:* [https://scielo.conicyt.cl/scielo.php?script=sci_arttext&pid=S0717-93082009000400005 «Displasis corticales como causa de epilepsia y sus representaciones en las imágenes»], artículo publicado en la ''Revista Chilena de Radiología'', versión en línea; 15 (suplemento&nbsp;1): págs.&nbsp;s25-s38; 2009. ISSN 0717-9308. Consultado el 9 de agosto de 2018.
  
[[Category:Salud]]  [[Category:Mejorar_Salud]] [[Category:Enfermedades]]  [[Category:Patología_clínica]] [[Category:Especialidades_Médicas]]  
+
[[Categoría: Enfermedades]]
[[Category:Neurología]]
+
[[Categoría: Neurología]]

Revisión del 03:11 14 ago 2018


Displasia cortical focal
Información sobre la plantilla
Dcf0.jpg
Clasificación:neurología
Región más común:cerebro
Forma de propagación:malformación genética

La displasia cortical focal (DCF) ocurre cuando las células cerebrales (o neuronas) en desarrollo de un embrión o feto no logran alcanzar las partes de la materia gris del cerebro para las que están destinadas genéticamente. Como resultado, aquellas áreas de la corteza carecen de las conexiones neuronales apropiadas para funcionar correctamente. Las áreas corticales afectadas pueden ser pequeñas y definidas o pueden incluir a todo un hemisferio del cerebro.

La displasia cortical forma parte de las conocidas «malformaciones del desarrollo cortical» (MDC), un grupo variado de patologías que destaca principalmente por un desarrollo alterado de la estructura de la corteza cerebral.

Antecedente

La primera descripción de «displasias focales» fue realizada por Taylor en pacientes con epilepsia fármacorresistente, para describir anormalidades focales de la estructura de la corteza cerebral caracterizadas por alteración de laminación, neuronas dismórficas y células en balón.[1]

Los mecanismos fisiopatológicos por cuales las DCF generan epilepsias no son claros.[2] Sin embargo, el tejido displásico tendría una epileptogenicidad intrínseca.[3]

Desarrollo embriológico de la corteza cerebral

Figura 1. Corteza cerebral. Nótese el engrosamiento de la sustancia gris cortical y la mala definición entre la sustancia gris y la sustancia blanca.

El cerebro se comienza a desarrollar antes del nacimiento, en el período intrauterino y pasa por diversas fases que pueden solaparse entre sí.

La corteza cerebral tiene una estructura altamente organizada y se encuentra ampliamente conectada con el resto de las estructuras encefálicas y la médula espinal. Su formación es compleja y ocurre en etapas temporal y espacialmente ordenadas, incluso con la formación de estructuras transitorias que finalmente desaparecen.

Se han identificado tres principales etapas consecutivas del desarrollo de la corteza cerebral, cada una parcialmente sobrepuesta con la siguiente, conocidas como: «etapa de proliferación y diferenciación celular», «etapa de migración neuronal» y «etapa de organización cortical».[4][5][6]

  • La «etapa de proliferación y diferenciación celular» ocurre a nivel periventricular en el interior de la matriz germinal, entre la 5.ta y 20.ma semana de gestación. Las células germinales se multiplican y se diferencian tanto en neuronas como en células guales.
  • La «etapa de migración» ocurre entre la 6.ta y 22.da semanas de gestación. En esta etapa, las neuronas se adhieren a una fibra glial radial y cambian de posición desde la región periventricular hasta su posición final en la corteza cerebral.
  • La corteza cerebral normal contiene numerosas células, localizadas en sitios específicos que le otorgan una arquitectura característica; se organiza en 6 capas que se enumeran desde la capa I, o molecular, hasta la capa VI o capa multiforme, sin embargo el proceso de migración se produce desde las capas más profundas hasta las capas más superficiales.
  • La «etapa de organización cortical», que depende en parte del proceso de migración, ocurre entre las 22.da semana de gestación hasta los 2 años de vida. Las neuronas se diferencian en distintos subtipos celulares como células piramidales, células estrelladas, células multipolares y otras, que se organizan en láminas horizontales, conformando un patrón citoarquitectónico cortical normal.

Las etapas principales del desarrollo de la corteza cerebral son la proliferación y diferenciación celular, migración y organización de las células en sus áreas correspondientes y mielinización.

Evidentemente, si hay cualquier tipo de alteración en estos procesos el desarrollo cortical va a verse perjudicado y se reflejará en diversos déficits cognitivos y conductuales.

Histológicamente se definen las siguientes capas:

  • La capa I (molecular) no tiene neuronas.
  • La células piramidales se localizan en las capas III (piramidal externa).
  • La capa V (piramidal interna); se caracterizan por su tamaño y orientación perpendicular a la superficie cortical. Las células piramidales normales de mayor tamaño se localizan en la capa V.

Abnormalidad

Figura 2. Corteza cerebral. DCF. La capa molecular aparece a la derecha de la imagen. La microfotografía muestra grupos de neuronas grandes y pequeñas, irregularmente dispersos en el espesor de las capas corticales. Corte teñido con método inmunohistoquímico para NeuN.

Las tres etapas del desarrollo cortical normal no se encuentran temporalmente separadas, la proliferación continúa luego que la migración comienza y la migración continúa después que se ha realizado. Hay que destacar que la célula que resulta de una proliferación anormal, frecuentemente no migra ni se organiza adecuadamente.

a) Alteraciones de la proliferación:

Las alteraciones de la proliferación se manifiestan por una disminución de la proliferación (micro-lisencefalia), por un aumento de la proliferación celular (hemimegalencefalia) o por una proliferación anormal (displasia cortical focal tipo II).

b) Alteraciones de migración:

Las alteraciones de la migración pueden producir una disminución de la migración (lisencefalia), una detención precoz de la migración con neuronas mal posicionadas a nivel periventricular o en la sustancia blanca (heterotopía periventricular o en banda), o en una sobremigración (distrofia muscular congénita).

c) Alteraciones de la organización:

Las alteraciones de la organización producen trastornos de la estructura de la corteza como la polimicrogiria, esquizencefalia o displasias corticales focales tipo I.

Desde el punto de vista de la imaginología, las alteraciones producidas durante la fase de proliferación se pueden extender desde los ventrículos hasta la superficie pial, mientras que las alteraciones de la fase de migración se localizan en la sustancia blanca y/o corteza. En general, las alteraciones de la organización se encuentran limitadas a la corteza cerebral.[7]

Epidemiología

Se estima que un 76 % de los pacientes con DCF sufren de epilepsia refractaria,[8] mientras que en un 25 % de los pacientes con crisis epilépticas parciales se ha identificado una DCF como la causa subyacente.[9]

Síntomas

Figura 3. Corteza cerebral. DCF. Se aprecia dislaminación y desorganización neuronal. Nótese las neuronas gigantes, dismórficas en el espesor cortical. Asimismo, hay abundantes neuronas ectópicas en la capa molecular. Tinción con hematoxilina y eosina.

Las «convulsiones recurrentes» en un infante o en un niño muy pequeño son el síntoma más común de displasia cortical. La actividad cerebral epiléptica que procede de la displasia cortical aparece de modo muy temprano en la vida de un niño afectado porque las anomalías de la corteza ocurren desde el útero y ya están presentes al nacer. Otros síntomas neurológicos variarán dependiendo de cuáles partes del cerebro están afectadas.

  • Déficits neurológicos focales: suponen problemas en alguna parte concreta de nuestro funcionamiento debidos a causas cerebrales.
    • Pueden ser muy variados como: la sensibilidad de un lado de la cara, el movimiento de una extremidad, la visión de un ojo, dificultades para expresar el habla, problemas de control emocional, etc.
  • Problemas intelectuales: incluso algunas veces puede asociarse con un nivel de inteligencia por debajo de la media, problemas para concentrarse y dificultades para aprender cosas nuevas.
  • Retraso en el desarrollo cognitivo y psicomotor: la mejor manera de saber cómo se está desarrollando un niño pequeño es observar su capacidad motora.

Características macroscópicas de la DCF

En la mayoría de los casos la DCF, como su nombre lo indica, se halla restringida a una o dos circunvoluciones que aparecen ensanchadas y de aspecto anormal (disgiria) en cualquiera de los lóbulos cerebrales, más frecuentemente en el lóbulo temporal.

Al corte, la sustancia gris puede estar engrosada; la zona de unión con la sustancia blanca muestra límite impreciso, borroso, difícil de establecer con exactitud, a veces puede haber islotes ectópicos de sustancia gris en la blanca.

Características histológicas

Corteza cerebral. DCF. Células globoides («balonadas») en la sustancia blanca subcortical. Tinción con hematoxilina y eosina.

La DCFT se caracteriza por desorganización laminar de variable intensidad, con la consiguiente pérdida de la organización columnar y, en los casos graves, presencia en el espesor cortical de neuronas gigantes, dismórficas, ectópicas, mal orientadas, con citoesqueleto relevante desorganizado, caóticamente dispersas en todas las capas corticales excepto en la primera capa; asimismo hay proliferación glial astrocitaria, con ausencia (DCF tipo II A) o presencia de bizarras células globoides (balonadas) (DCF tipo II B).

Otras alteraciones corticales

Se caracterizan por excrecencias de tejido glioneuronal en las leptomeninges, persistencia de abundantes neuronas en la capa cortical I (molecular) y en la sustancia blanca subcortical abundantes neuronas ectópicas y células globoides (balonadas) que semejan astrocitos gemistocíticos, ya que tienen citoplasma abundante, ovoide, de contenido semitransparente, eosinófilo. Límites imprecisos entre sustancia gris y sustancia blanca. Hamartomatosis glioneuronal: focos de elementos gliales y neuronales maduros, a veces mezclados con células oligodendroglioides (en 15 % de cerebros con epilepsia).

Recientemente se describe que algunas de las neuronas citomegálicas, comúnmente presentes en la DCF son en realidad interneuronas,[10] lo cual ―además de constituir una reidentificación de esa estructura― tiene significado fisiológico como participante importante en la génesis de las convulsiones, ya que forman parte de circuitos neuronales anormales en la zona afectada.[11][12]

El signo más relevante es el aumento de la frecuencia de descarga en comparación con las interneuronas normales.

Clasificación de la DCF

Existen varias clasificaciones, que se aplican indistintamente en la literatura correspondiente. La mayoría de esas clasificaciones se basan en la estructura histológica de las malformaciones corticales, en los hallazgos en los estudios de neuroimagen, sobre todo los de resonancia magnética y en la correlación con las manifestaciones clínicas y los aspectos electroencefalográficos.[9][13][14][15][16][17][18] Más recientemente han aparecido clasificaciones que incluyen los aspectos genéticos de cada una de las malformaciones (tabla 1).[19]

Tabla 1. Clasificación de malformaciones corticales en epilepsia*
Mecanismo Defectuoso Tipo de malformación GENES Proteínas Funcion normal de la proteína
Migración Neuronal Hipertrofia nodular periventricular FLN 1 Filamna 1 Esencial para la migracion
Lisencefalia Lis 1 Factor activador de plaquetas Liga con NusEL y tubulina
Migración interrumpida Lisencefalia (XLIS) heterotropia laminar DCX (XLIS). Doblecortin Liga y estabiliza tubulina en neuronas en migración
Lisencefalia e hipoplasia cerebelosa RLN Reelina Señal que detiene neuronas en migración
Falla de laminación cortical Displasia cortical focal TSC polimorfismo de TSC (y cdk 5). Hamartina (Cdk 5). Interactúa con la ERM, contribuye a la adhesion y tamaño celular
Microdisgénesis Presenilina 1
Desconocido Esquizencefalia EMX 2 Emx 2 Gene homeobox que conforma el cerebro
Polimicrogiria focal y generalizada PAX 6 mutación identificada en parientes PAX 6 factor de transcripción Participa en diferenciación y migración neuronal

Clasificación propuesta por Tassi

Figura 4. Corteza cerebral. DCF. Abundantes neuronas displásicas con neuritas irregulares, y prominente citoplasma, dispersas desordenadamente en las capas corticales. Tinción para neurofilamentos.

La clasificación propuesta por Tassi se basa en la neuropatología, más datos de neuroimagen y genética.[19] Esta clasificación reconoce tres subtipos histológicos: displasia arquitectónica, displasia citoarquitectónica y displasia cortical focal de Taylor, en dos variedades: la DCF sin células globoides pero con neuronas dismórficas; la DCFT con células globoides, que constituyen su característica principal.

Clasificación propuesta por Palmini

La clasificación propuesta por Palmini resulta práctica para exponer las características histológicas:[16]

  1. Malformación leve de desarrollo cortical:
  • Tipo I: Neuronas ectópicas en la capa I, capa molecular de la neocorteza
  • Tipo II: Heterotopia neuronal microscópica en capas neocorticales pero no en la capa I, grupos de neuronas mal colocadas.
  1. DCF:
  • Tipo I A: Laminación irregular
  • Tipo I B: Neuronas gigantes o inmaduras
  • Tipo II A: Neuronas dismórficas pero no células globoides.
  • Tipo II B: Neuronas dismórficas y células globoides

Clasificación que propone Barkovich

La clasificación que propone Barkovich considera tres grupos:

  1. Malformaciones debidas a proliferación/apoptosis anormal.
  2. Malformaciones debidas a migración anormal.
  3. Malformaciones debidas a migración neuronal anormal tardía.

Diagnóstico

Figura 5. Corteza cerebral. DCF. Células globoides (balonadas) en la sustancia blanca subcortical, positivas para proteína acídica glial fibrilar.

La displasia cortical puede ser difícil de diagnosticar porque las partes afectadas del cerebro varían en cada individuo, pero realizan a través de:

Tratamiento

Está centrado en el tratamiento y el control de las convulsiones que resultan de la condición, y los métodos utilizados varían con cada paciente. Los medicamentos anti-convulsiones son exitosos en algunos individuos, mientras que otros pueden tener convulsiones tan severas y difíciles de manejar, que la opción más efectiva puede ser la cirugía para extraer la porción anormal del cerebro.

Fuentes