Gingivitis ulcerosa necrosante
| ||||||
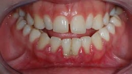
Gingivitis ulcerosa necrosante. Es una enfermedad gingival de aparición rápida que se produce por una disminución de la resistencia del huésped (paciente) a determinadas bacterias (espiroquetas y bacilos fusiformes) ocasionada mayormente por estrés u otros factores o enfermedades generales que pueden disminuir las defensas del individuo. También está asociada con una higiene bucodental deficiente y el tabaquismo.
Sumario
Síntomas
- Dolor en las encías
- Sangrado profuso de las encías en respuesta a cualquier presión o irritación
- Encías que aparecen enrojecidas e inflamadas
- Película grisácea sobre las encías
- Úlceras tipo cráter entre los dientes
- Sabor desagradable en la boca
- Mal aliento
Signos y exámenes
El médico examina la boca para buscar signos de boca de trinchera como:
- Encías inflamadas
- Destrucción del tejido gingival alrededor de los dientes
- Úlceras tipo cráter llenas de placa y restos de alimentos
- Puede haber una película grisácea causada por tejido gingival descompuesto y, en ocasiones, se puede presentar fiebre o se pueden inflamar los ganglios linfáticos de la cabeza y el cuello.
- Se pueden tomar radiografías dentales o faciales para determinar el alcance de la infección y la destrucción del tejido.
Esta enfermedad también puede alterar los resultados de un cultivo por cepillado de la garganta.
Tratamiento
El propósito del tratamiento es curar la infección y aliviar los síntomas. El médico puede prescribir antibióticos si la persona presenta fiebre.
Una buena higiene oral es vital para el tratamiento de la boca de trinchera. Se debe realizar un cepillado meticuloso de los dientes y una limpieza con seda dental, con la mayor frecuencia posible, al menos dos veces al día y preferiblemente después de cada comida y al momento de acostarse.
Los enjuagues con agua salada (media cucharadita de sal en una tasa de agua) pueden aliviar el ardor en las encías. Se recomienda el peróxido de hidrógeno (agua oxigenada), que se utiliza para enjuagar o irrigar las encías, con el fin de eliminar el tejido gingival descompuesto. Los calmantes para el dolor (analgésicos) se pueden usar para reducir la molestia.
Los enjuages calmantes o agentes protectores pueden reducir el dolor especialmente antes de comer y, en caso de dolor severo, se puede usar lidocaína viscosa. Una vez que las encías estén menos sensibles, se recomienda una visita al odontólogo o a un profesional en higiene oral para una limpieza dental profesional y eliminación de la placa. Igualmente, se puede recomendar una limpieza y examen dentales regulares y frecuentes hasta que desaparezca el trastorno.
Es posible que el paciente necesite instrucciones sobre la buena higiene oral, métodos para dejar de fumar, reducción del estrés u otras medidas para evitar la recurrencia de esta condición. Asimismo, a la persona se le aconseja la forma de mantener una buena salud general, incluyendo una buena nutrición y reposo balanceado con ejercicios.
Se deben evitar los irritantes, como el cigarrillo y los alimentos picantes y calientes.
Pronóstico
La infección tiende a responder al tratamiento. El trastorno puede ser doloroso hasta que se comienza el tratamiento. Si la boca de trinchera no se trata o si el tratamiento se retrasa, la infección puede diseminarse a las mejillas, labios o maxilar y destruir estos tejidos.
Complicaciones
Dolor Diseminación de la infección Pérdida de los dientes Periodontitis Deshidratación Situaciones que requieren asistencia médica Se debe buscar asistencia médica si aparecen síntomas de boca de trinchera, si se presenta fiebre o si se desarrollan nuevos síntomas.
Prevención
Para prevenir la boca de trinchera es importante tener una buena higiene oral que incluya un meticuloso cepillado de los dientes, el uso de seda dental y una limpieza y examen dentales profesionales regulares. La buena nutrición y una buena salud general también ayudan a prevenir este trastorno. Existen otras medidas preventivas como dejar de fumar y aprender a manejar el estrés.

