Pericarditis en Perros
| ||||
La pericarditis describe una condición en la cual el pericardio se inflama. El pericardio está formado por dos capas: una capa externa fibrosa y una capa membranosa interna que se adhiere estrechamente al corazón. Dentro del saco hay una capa de líquido pericárdico compuesto de suero, un líquido acuoso que sirve para mantener la superficie del saco membranoso y el corazón húmedos. Las membranas del cuerpo también secretan en suero cuando detectan una inflamación de los tejidos y órganos circundantes.
Cuando cualquiera de las capas del pericardio se inflama, la reacción natural es que las membranas produzcan más suero, lo que conduce a un exceso de suero en el pericardio. La acumulación de líquido comprime el corazón, poniendo mucha presión sobre él y el tejido circundante, por lo general lleva a más inflamación y la posterior hinchazón.
La pericarditis puede afectar a perros y gatos.
Síntomas
La insuficiencia cardíaca congestiva derecha de es el resultado más frecuente de pericarditis. Otros síntomas incluyen:
- Anorexia
- Letargo
- Acumulación de líquido en el abdomen
- Dificultad para respirar
- Pulso débil
- Aumento del ritmo cardíaco
- Colapso
Normalmente, los perros progresarán hasta pericarditis hemorrágica (sangre en el corazón del saco), que puede conducir a una acumulación potencialmente mortal de líquido en el saco del corazón, y un taponamiento (compresión del corazón por el fluido en el saco del corazón). La pericarditis hemorrágica se ve en perros de razas medianas a grandes que son jóvenes y de mediana edad.
Causas
Pueden ser diagnosticados como idiopáticas o agnogénicas (lo que significa que no están relacionadas con nada en particular, y que son de causa desconocida). El único problema aparente puede ser que hay acumulación en exceso de líquido, con aparentemente nada más para explicar la enfermedad.
- Traumatismo cerrado o penetrante
- Infección bacteriana:
- Tuberculosis: una enfermedad por micobacterias que afecta los pulmones
- Nocardiosis: infección que causa lesiones en los pulmones, puede extenderse a otras partes del cuerpo
- Pasteurella spp:. Infección de las vías respiratorias
- Actinomicosis: Invasión que causa tumores de bultos en el cuello, pecho, abdomen, y alrededor de la cara y la boca, también llamada "mandíbula abultada"
- Infección por hongos:
Diagnóstico
Su veterinario le hará un examen físico completo a su perro, incluyendo un perfil bioquímico de sangre, un hemograma completo, análisis de orina, y un panel de electrolitos para buscar una causa subyacente o enfermedad sistémica. Si su veterinario sospecha de pericarditis bacteriana tomará una muestra de líquido de la efusión pericárdica para un cultivo aeróbico y anaeróbico. Es decir, el examen de los tejidos que viven con oxígeno, y tejidos que viven sin oxígeno.
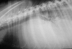
Imágenes de radiografía torácica (radiografía de tórax), e imágenes de ecocardiografía son esenciales para un diagnóstico visual preciso. Otras pruebas menos sensibles que todavía pueden proporcionar información útil acerca del corazón son la cateterización cardíaca, en la cual se inserta un tubo en una arteria o vena en el brazo o la pierna, y luego se lleva a las cámaras del corazón, y un electrocardiograma, que registra la actividad eléctrica muscular del corazón. Ambas pruebas miden la funcionalidad: la presión arterial y el flujo, el ritmo y lo bien que el músculo del corazón está bombeando.
Tratamiento
El tratamiento dependerá de la causa subyacente de la pericarditis. Todos los perros con esta enfermedad tendrán que ser hospitalizado en una unidad de cuidados intensivos. La quimioterapia se prescribirá si son procesos neoplásicos cancerosos (crecimiento anormal de tejido), y las infecciones bacterianas se pueden tratar con los antibióticos apropiados. Una cirugía puede ser necesaria (pericardiotomía) para extraer parte del pericardio.
Vida y Gestión
Esta condición a veces vuelve a ocurrir. Si los signos de la enfermedad regresan en cualquier momento después de llevar a su perro a casa, llame a su veterinario inmediatamente para pedirle asesoría.


